img

По статистике, проблемы с деснами встречаются у 90% взрослого населения России.

Важно своевременно обнаружить и устранить воспаление, иначе оно может перейти в более серьезные стадии — пародонтит и пародонтоз, что приведет к расшатыванию и потере зубов.





Причины возникновения гингивита

Гингивит — это воспаление краевой части десны без разрушения зубодесневого соединения.

В большинстве случаев у такого заболевания как гингивит лечение требуется из-за плохой гигиены полости рта. Бактерии, скапливающиеся в зубном налете, вызывают воспалительную реакцию в тканях десны. Примечательно, что отсутствие чистки зубов всего лишь в течение 72 часов может спровоцировать начало воспаления.

Другие факторы, вызывающие заболевание:

  • — Травмы десен от зубного камня
  • — Некорректное лечение зубов (некачественные пломбы, протезы)
  • — Физическое повреждение десен (травмы, брекеты, неправильное использование зубных щеток)
  • — Нарушение прикуса или неэффективное его исправление
  • — Снижение иммунитета, авитаминоз (в частности, нехватка витамина C)
  • — Гормональные изменения (беременность и другие эндокринные нарушения)
  • — Системные заболевания (диабет, заболевания ЖКТ, ВИЧ, гепатит, туберкулез и другие)
  • — Курение
img

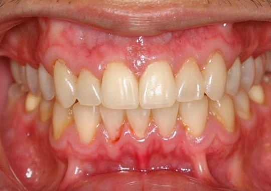
Симптомы и признаки воспаления десен

Воспаление десен, лечение которого нужно начинать при первых признаках, проявляется следующими симптомами:

  • — Кровоточивость при чистке зубов
  • — Покраснение и отечность десневого края
  • — Болезненность при приеме пищи
  • — Неприятный запах изо рта
  • — Повышенная чувствительность зубов
  • — Изменение цвета десны от бледно-розового до ярко-красного

Часто гингивит протекает почти бессимптомно, что осложняет его своевременное выявление. Поэтому так важны регулярные осмотры у стоматолога.

Виды гингивита

В зависимости от клинической картины выделяют несколько форм заболевания:


Форма гингивита Характеристика
Катаральный гингивит Отечность и кровоточивость десен.
Гипертрофический гингивит Разрастание десневой ткани, частично закрывающей коронковую часть зубов.
Атрофический гингивит Уменьшение объема десны.
Язвенный гингивит Тяжелая форма с образованием болезненных язв на деснах
Язвенно-некротический гингивит Протекает с повышением температуры тела, возможны головные боли и гнилостный запах изо рта. Самая тяжелая форма.

Методы лечения

Лечение гингивита всегда комплексное и включает как процедуры в стоматологическом кабинете, так и домашний уход. Основные методы:

  1. 1. Профессиональная гигиена — удаление зубных отложений ультразвуком и полировка поверхностей зубов.
  2. 2. Противовоспалительная терапия — применение антисептиков и противовоспалительных препаратов.
  3. 3. Склерозирующая терапия — при отечной форме врач вводит в ткани десны специальный раствор.
  4. 4. Хирургическое вмешательство — при фиброзной форме может потребоваться иссечение измененных тканей.
  5. 5. Устранение сопутствующих проблем — замена некачественных пломб, коррекция прикуса.
img

В запущенных случаях гингивит может перерасти в более серьезные заболевания, требующие лечения лечения пародонтоза десен, лечения периодонтита или даже лечения пульпита при проникновении инфекции вглубь зуба.

Профилактика гингивита

Предупредить развитие воспаления десен помогут следующие меры:

  • — Чистка зубов дважды в день щеткой средней жесткости
  • — Использование зубной нити и межзубных ершиков
  • — Применение ирригатора для промывания межзубных промежутков
  • — Регулярное посещение стоматолога (не реже 2 раз в год)
  • — Отказ от курения
  • — Сбалансированное питание с достаточным содержанием витаминов


img

Преимущества лечения в стоматологии «Ольга»

В нашей клинике работают опытные пародонтологи, владеющие классическими и передовыми методиками лечения десен. Мы применяем индивидуальный подход к каждому пациенту, составляя план лечения с учетом всех особенностей.

Записавшись на консультацию, вы получите полное обследование и рекомендации по домашнему уходу. Не откладывайте заботу о здоровье ваших десен — запишитесь к нам сегодня, чтобы сохранить красоту своей улыбки надолго!

Вопрос-ответ

Сколько времени занимает лечение гингивита?

Сроки зависят от формы и тяжести заболевания. Катаральный гингивит легкой степени может пройти за 7-10 дней, а более сложные формы требуют 2-3 недели лечения при условии соблюдения всех рекомендаций врача.

Можно ли вылечить гингивит только домашними средствами?

Нет, для полноценного лечения десен необходима профессиональная чистка зубов в стоматологическом кабинете. Домашний уход — важная часть терапии, но без устранения зубных отложений добиться стойкого результата невозможно.

Заразен ли гингивит?

Гингивит не является заразным заболеванием, которое может передаваться от человека к человеку при обычном общении. Однако некоторые бактерии, вызывающие воспаление, теоретически могут передаваться при тесном контакте.

Какие осложнения вызывает нелеченый гингивит?

Без лечения гингивит прогрессирует в пародонтит — воспаление более глубоких тканей пародонта с поражением костной ткани. Это приводит к образованию зубодесневых карманов, расшатыванию и выпадению зубов.

Нужно ли изменить питание при гингивите?

Во время лечения желательно исключить очень твердую, горячую и острую пищу, которая может травмировать воспаленные десны. Рекомендуется увеличить потребление продуктов, богатых витамином C и другими веществами, способствующими регенерации тканей.

Как часто нужно проходить профессиональную гигиену для профилактики гингивита?

Для большинства людей достаточно посещать гигиениста 2 раза в год. Пациентам с повышенным риском развития заболеваний пародонта может потребоваться профессиональная чистка каждые 3-4 месяца. Точную периодичность определит врач.

Запишитесь на прием прямо сейчас

В ближайшее время с Вами свяжется администратор и предложит удобную для Вашего визита дату и время. Мы работаем без выходных!

Цены

  • Курс лечения при пародонтите легкой и средней степени тяжести (3 посещения)

    16536 руб.
  • Профессиональная гигиена при первичном обращении

    8929 руб.
  • Первичный прием пародонтолога

    834 руб.

Запишитесь на прием прямо сейчас

В ближайшее время с Вами свяжется администратор и предложит удобную для Вашего визита дату и время. Мы работаем без выходных!
Оставьте заявку на прием специалиста сейчас

Заполните обязательные поля

Оставьте отзыв
Нам важно мнение каждого!

Дорогие пациенты, ваши отзывы помогают нам расти и развиваться в правильном направлении.

Мы работаем для вас, поэтому нам важно услышать ваше мнение о лечении в нашей стоматологии, о работе врача, о том как вас встретили администраторы на ресепшене.

Делитесь своими впечатлениями, наблюдениями и пожеланиями!

Оставьте свои контактные данные, если хотите получить ответ на отзыв

ПРИКРЕПИТЬ ФАЙЛ


Оставьте заявку на прием специалиста сейчас

Заполните обязательные поля

Оставьте отзыв
Нам важно мнение каждого!

Дорогие пациенты, ваши отзывы помогают нам расти и развиваться в правильном направлении.

Мы работаем для вас, поэтому нам важно услышать ваше мнение о лечении в нашей стоматологии, о работе врача, о том как вас встретили администраторы на ресепшене.

Делитесь своими впечатлениями, наблюдениями и пожеланиями!

Оставьте свои контактные данные, если хотите получить ответ на отзыв

ПРИКРЕПИТЬ ФАЙЛ