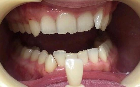
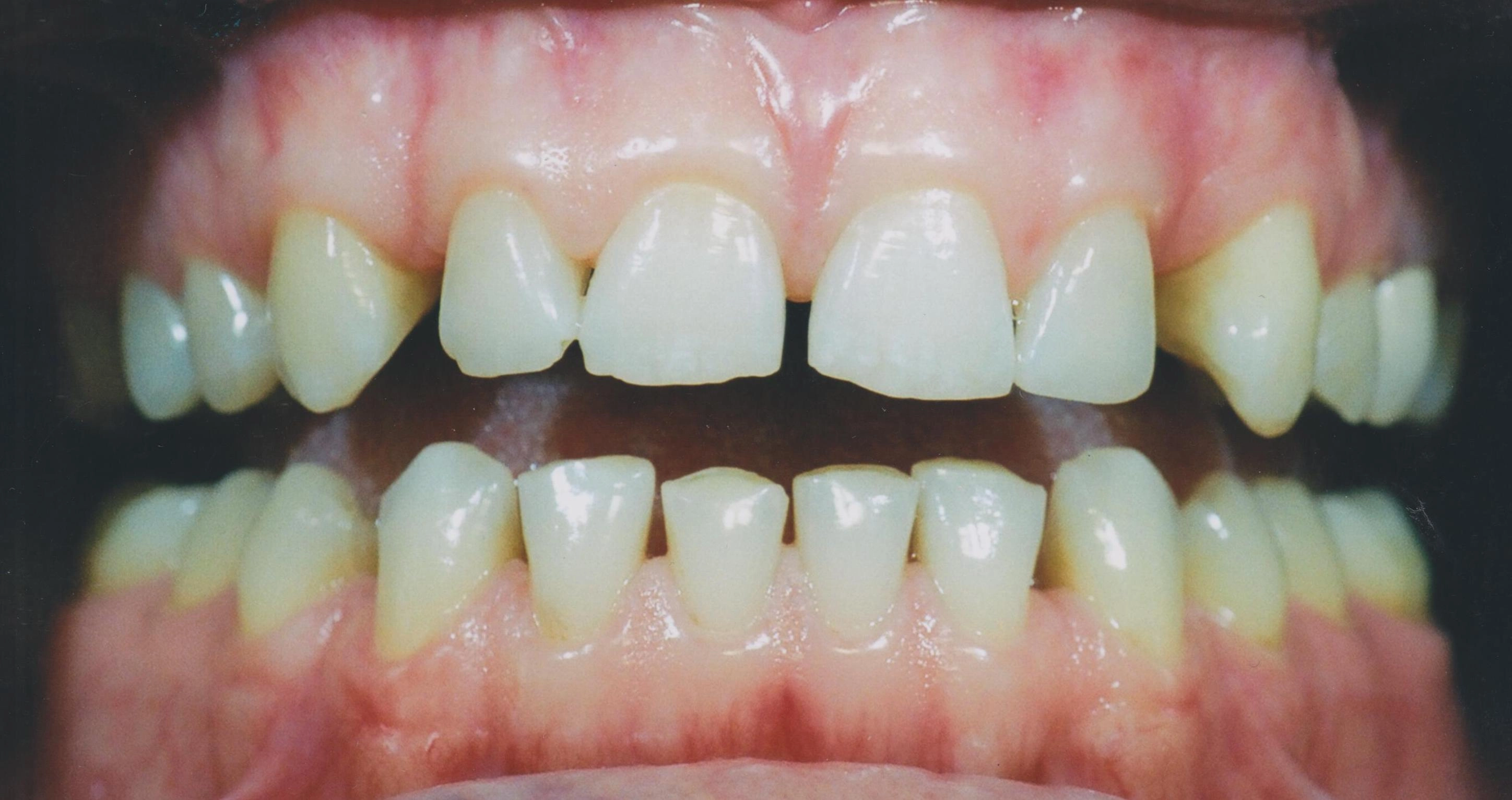
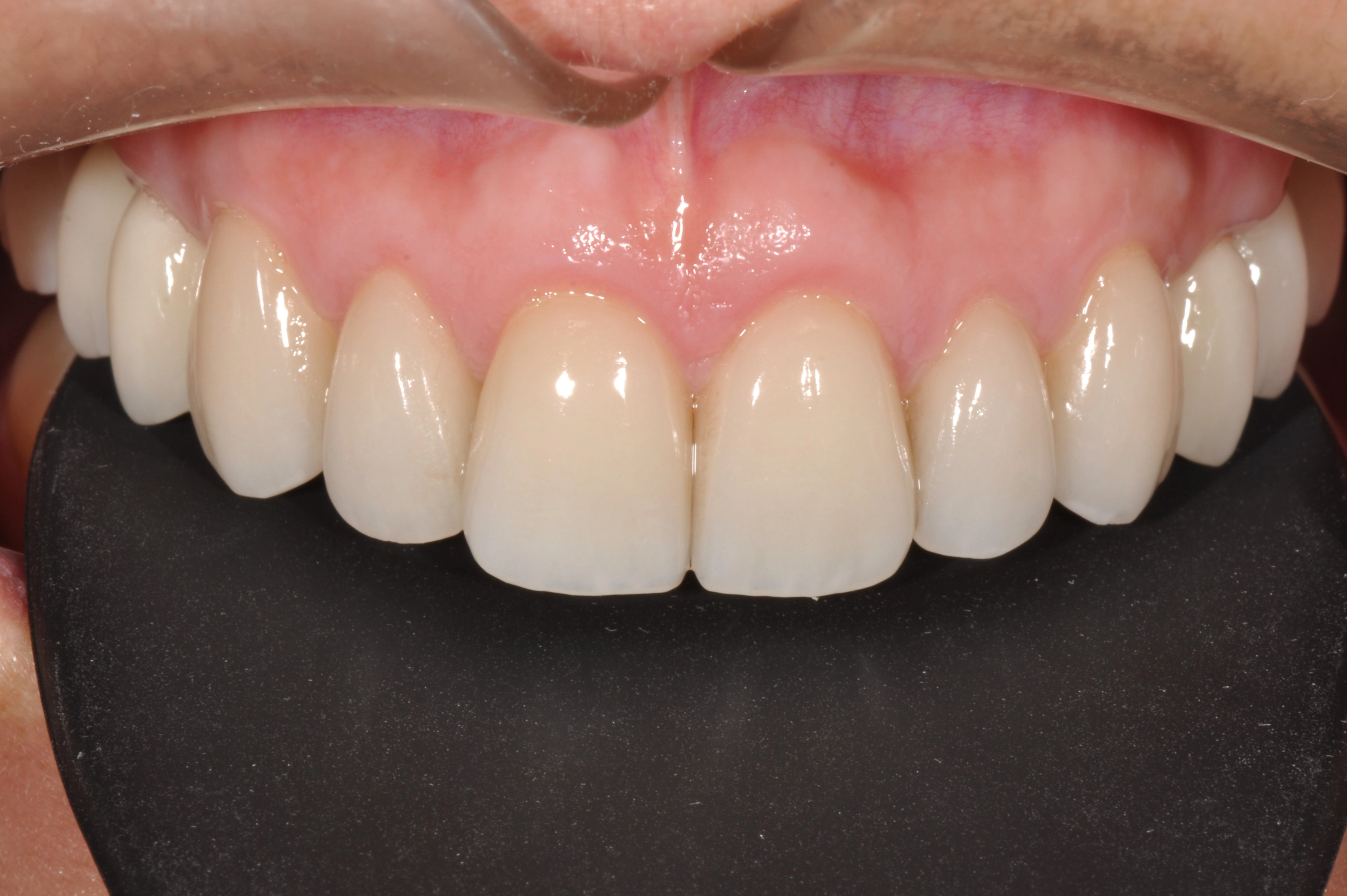
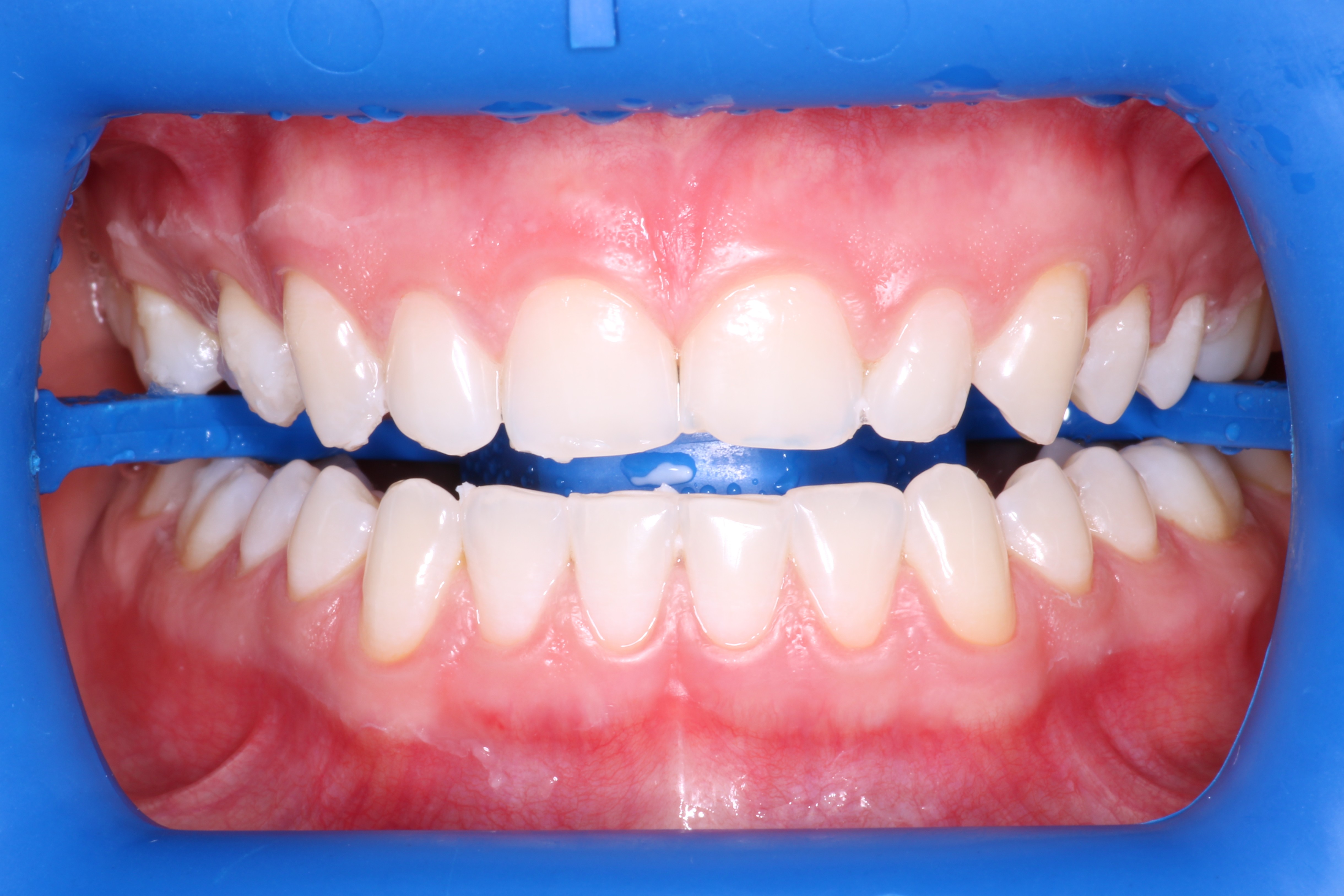
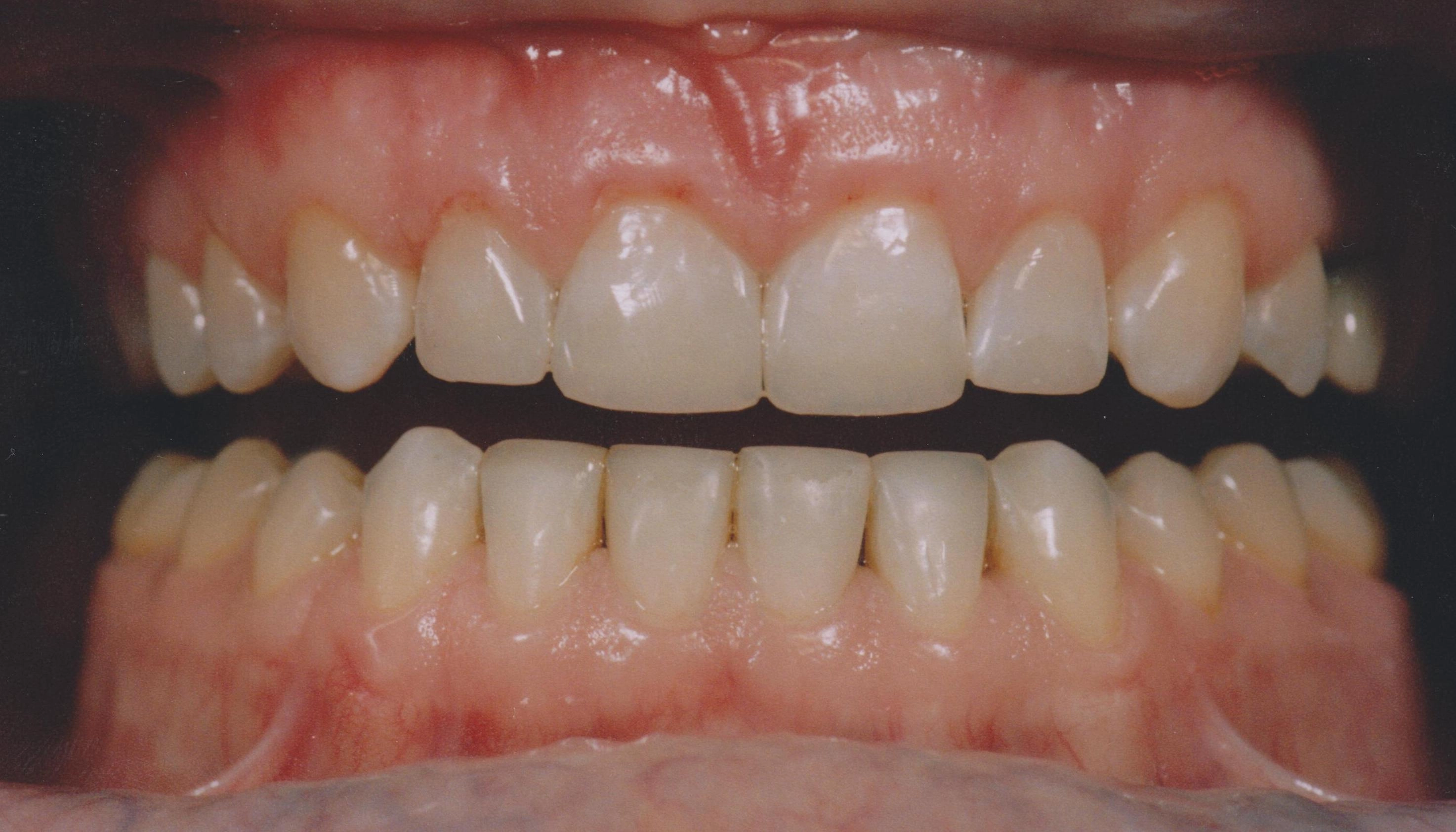
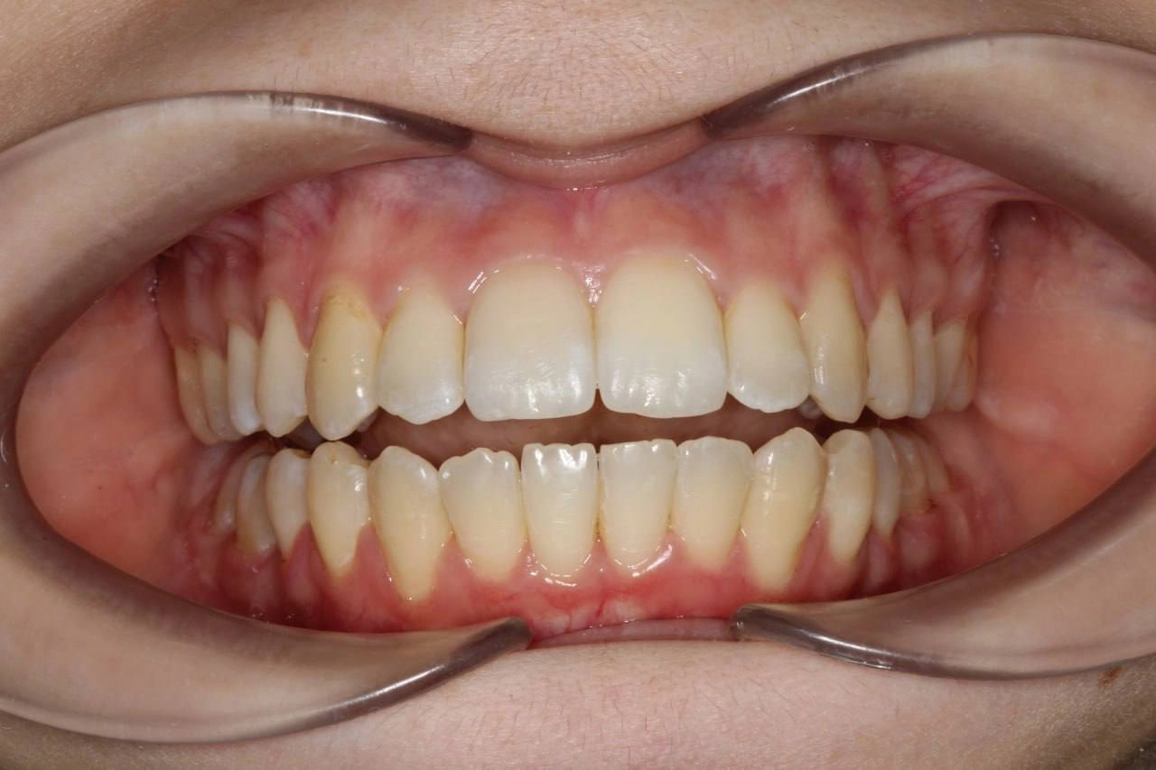
Пациент Е., 17 лет. Жалобы на неровные зубы, промежутки между зубами. Проведено двучелюстное ортодонтическое лечение с помощью брекет-системы Damon Q. Продолжительность лечения 1 год 2 месяца
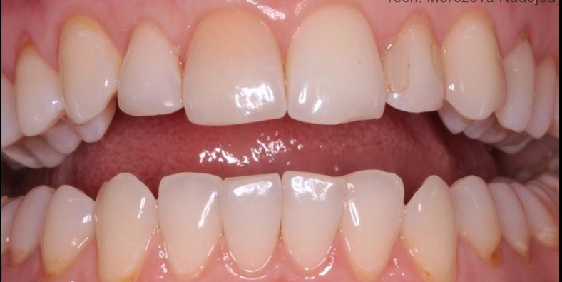
После завершения ортодонтического лечения, стоматологом-терапевтом Нефедовой Е.С. проведена реставрация центральных резцов верхней челюсти.
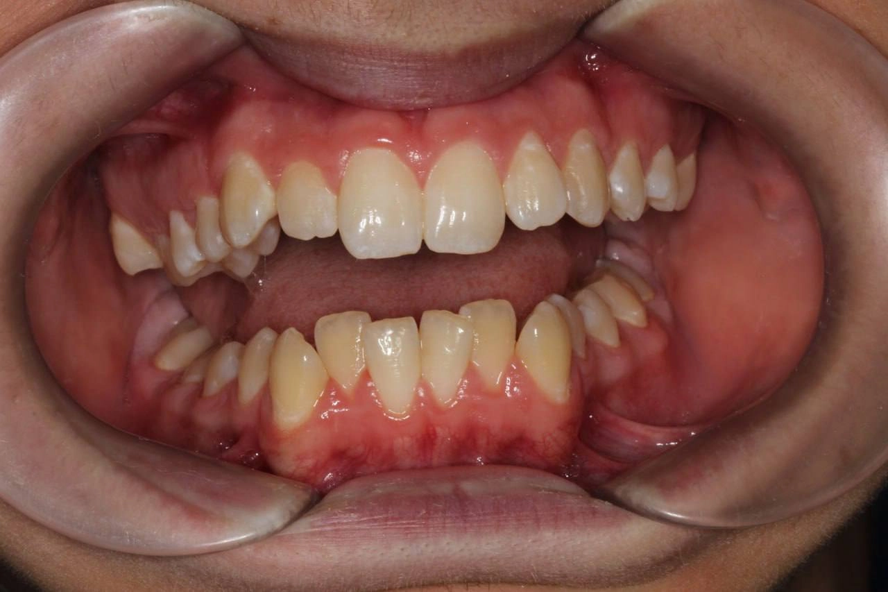
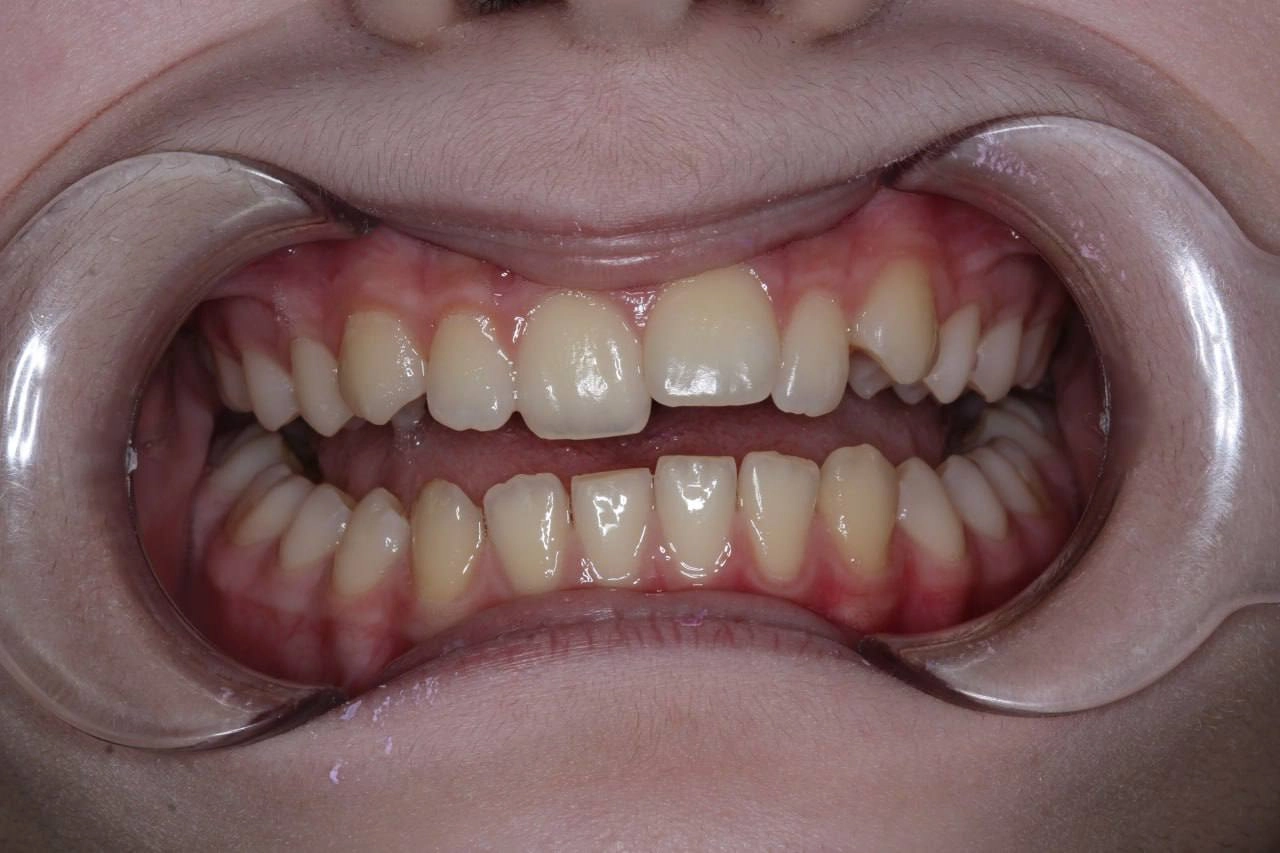
Пациент Г., 12 лет. Жалобы на неправильный прикус. Проведено двучелюстное ортодонтическое лечение с помощью брекет-системы Damon Q
Продолжительность лечения 1,5 года
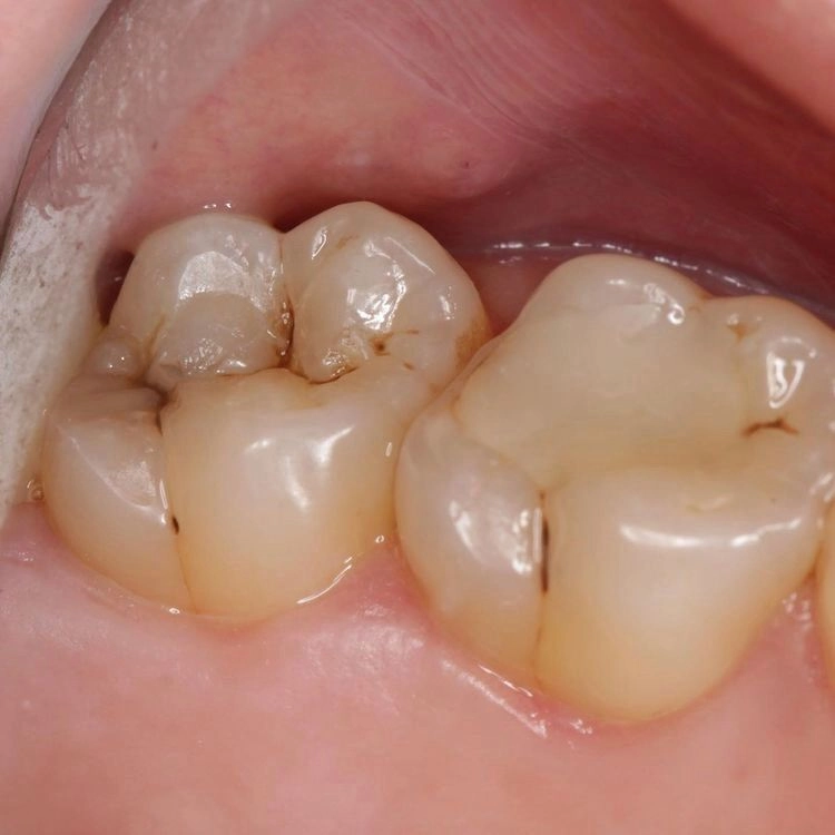
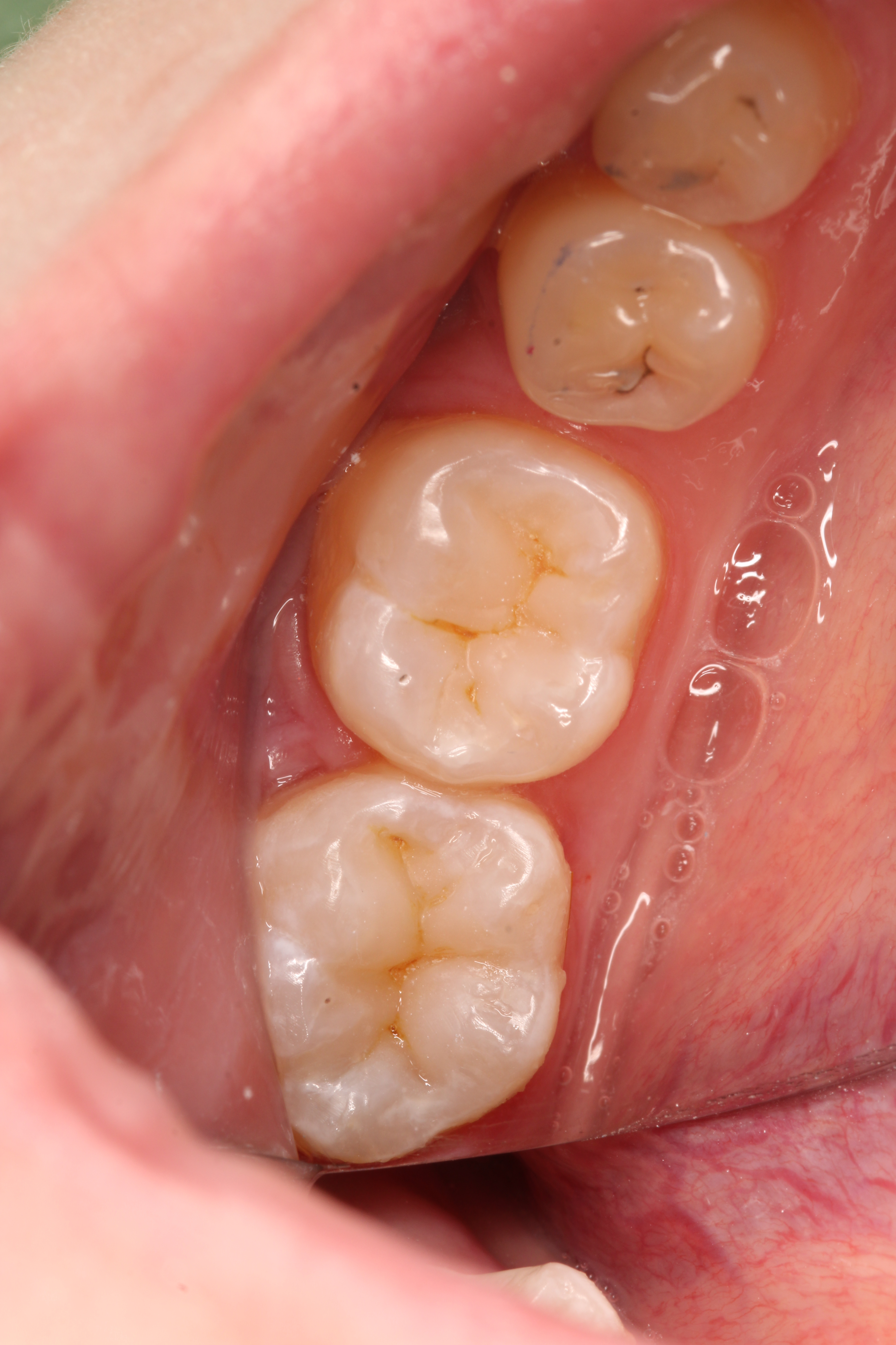
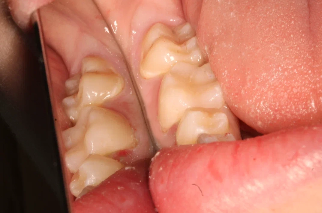
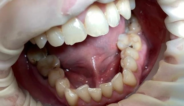
Мальчик, 5 лет. Проведено лечение 4 зубов под ЗАКС. Врач: Арженовская Е.Н.
Результат: здоровые зубы и восстановленный внешний вид зубов
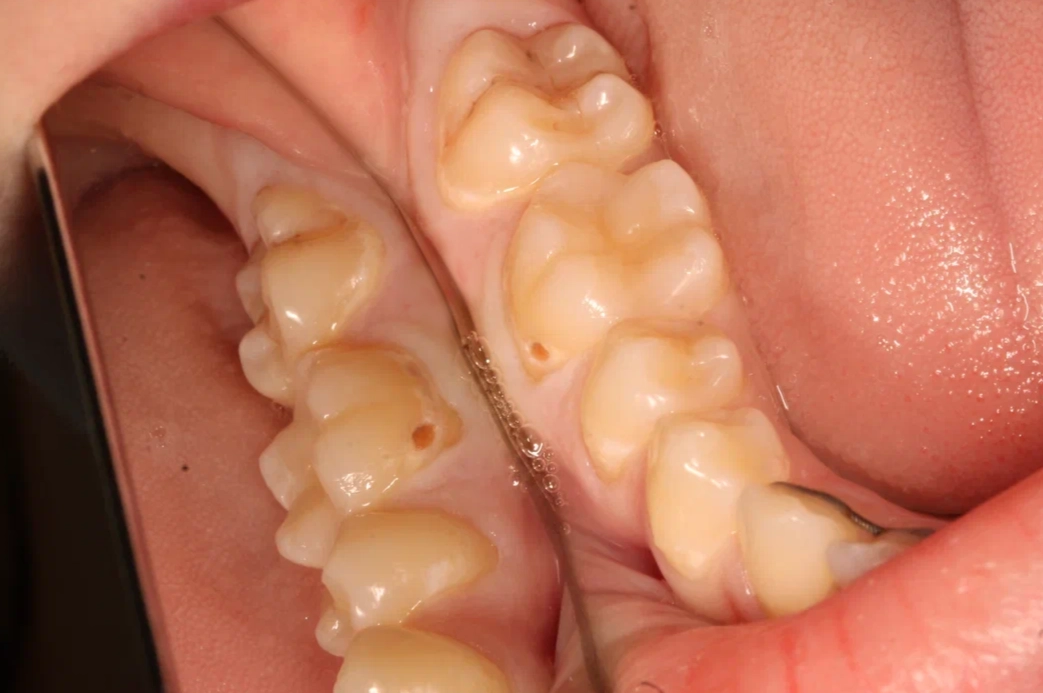
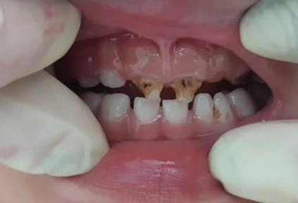
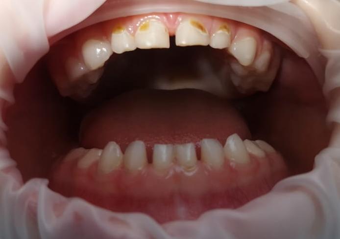
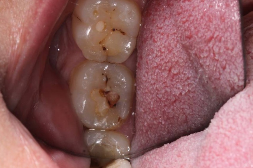
Девочка 5 лет, тяжелая степень активности кариеса, комплекс у девочки, стеснялась улыбаться плюс страх перед лечением. проведено эндодонтическое лечение 12 зубов и реставрация 12 зубов в ЗАКС. Врач: Арженовская Е.Н. Результат: ребенок начал улыбаться и перестал бояться стоматолога, регулярно приходит на профосмотры каждые полгода.
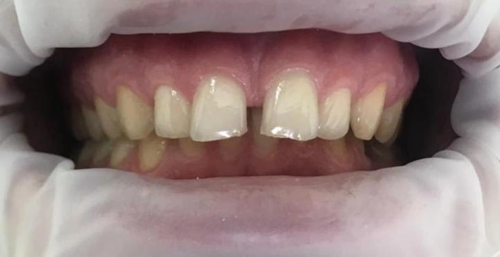
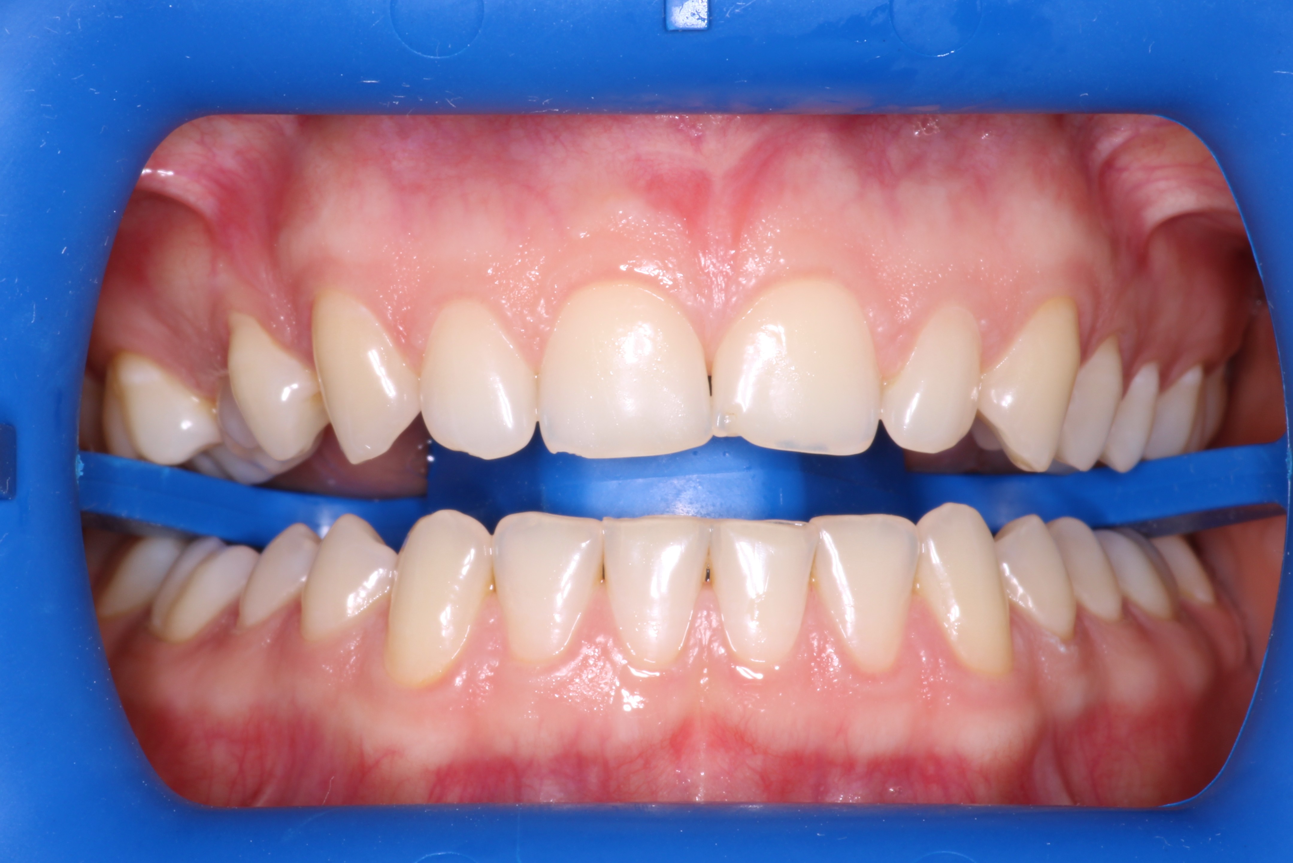
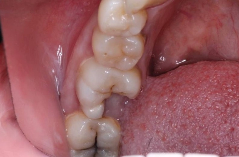
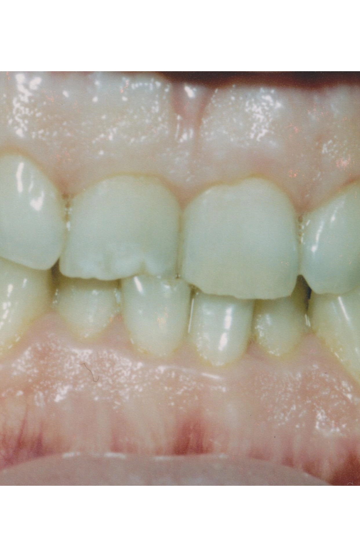
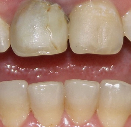
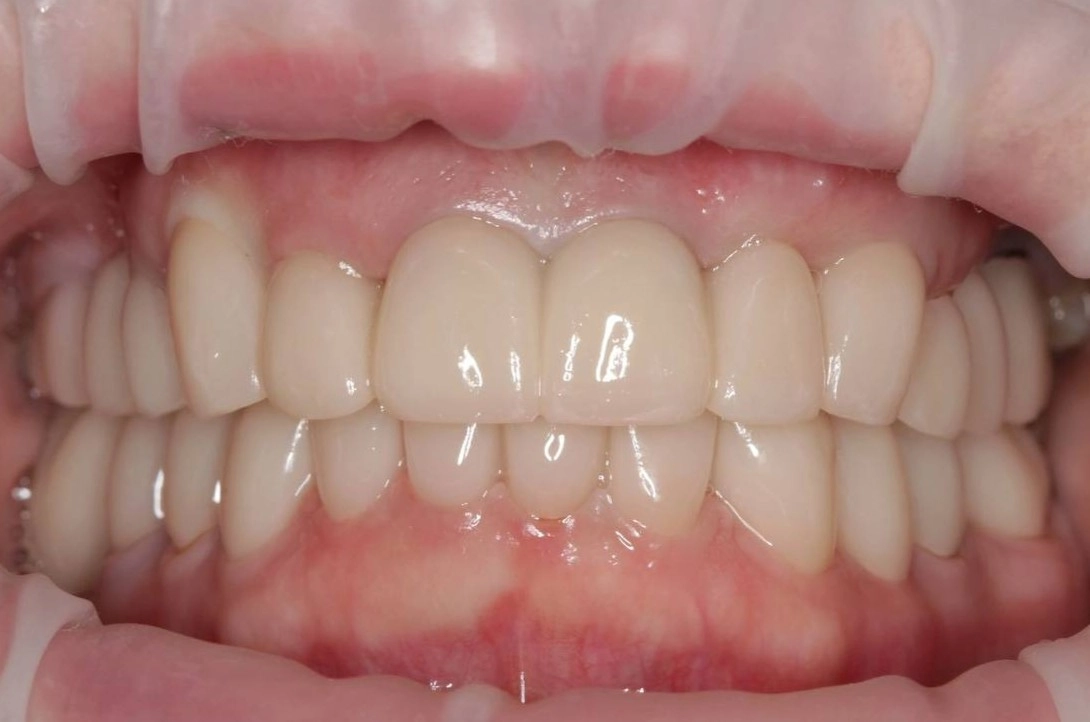
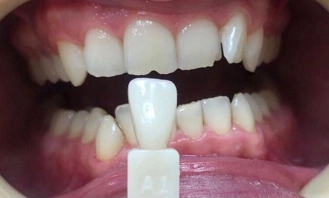
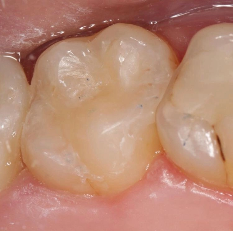
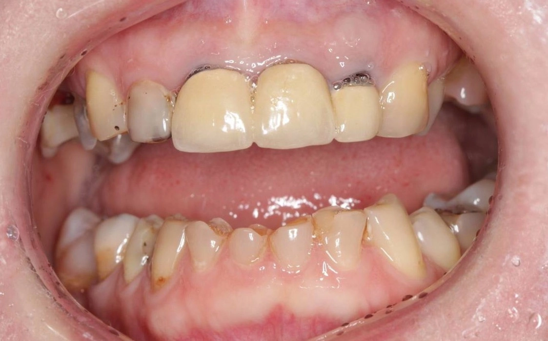
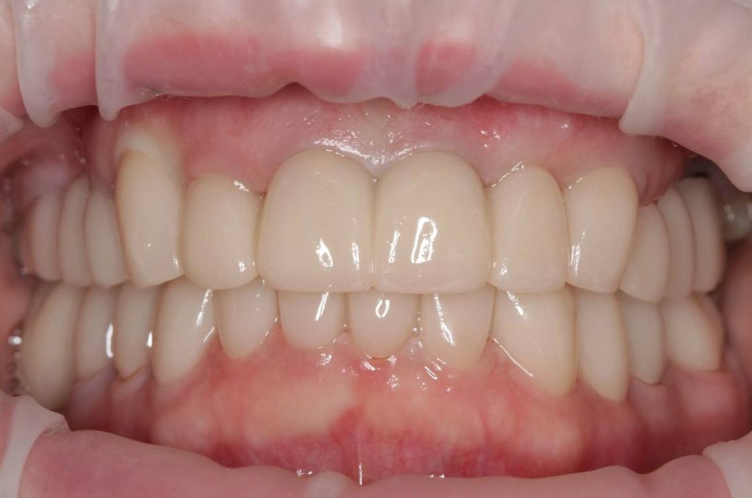
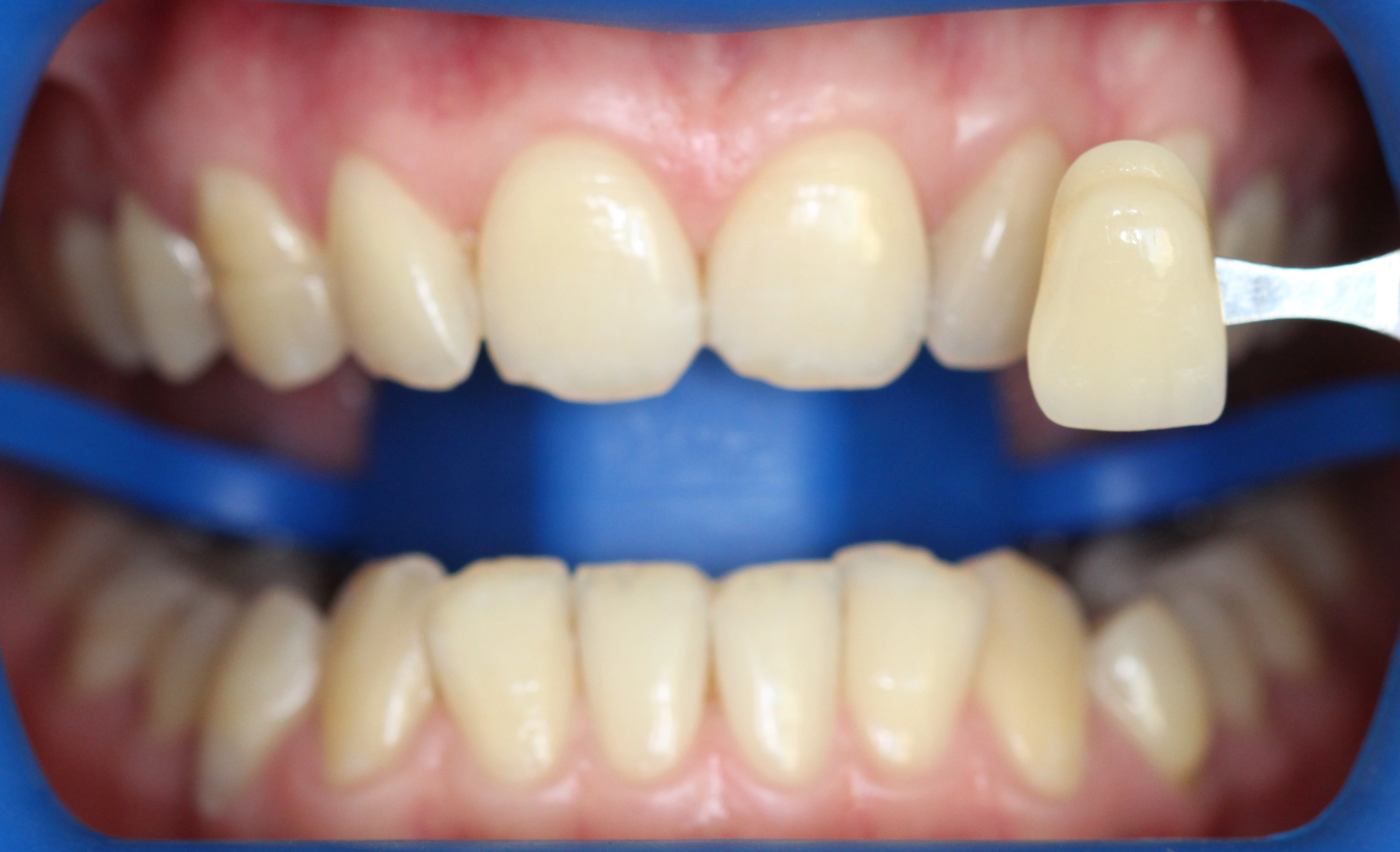
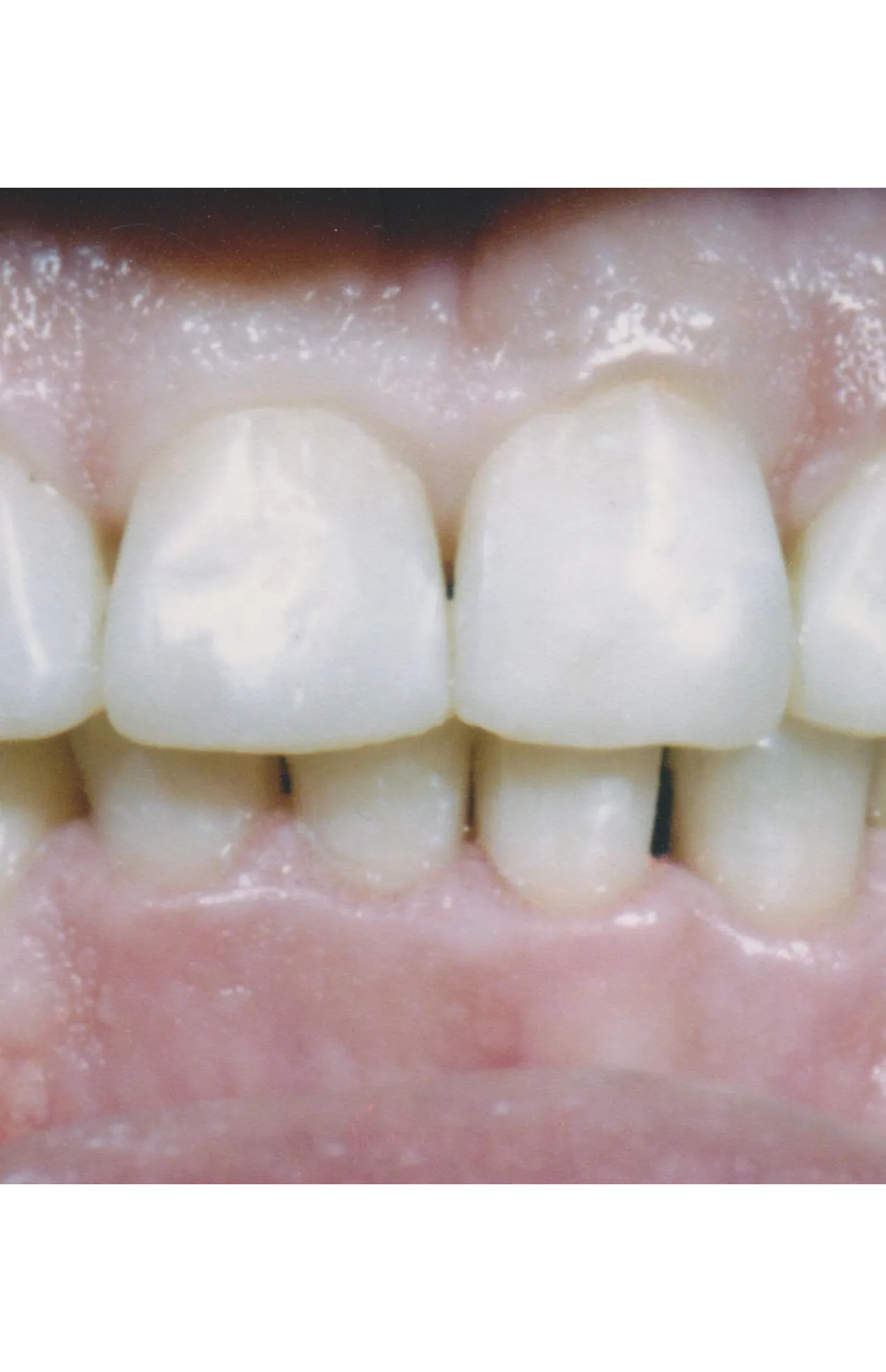
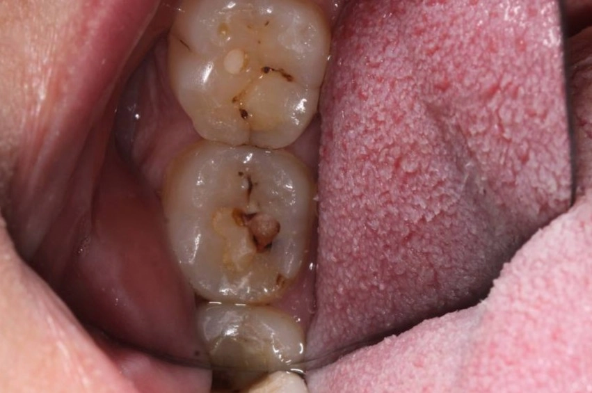
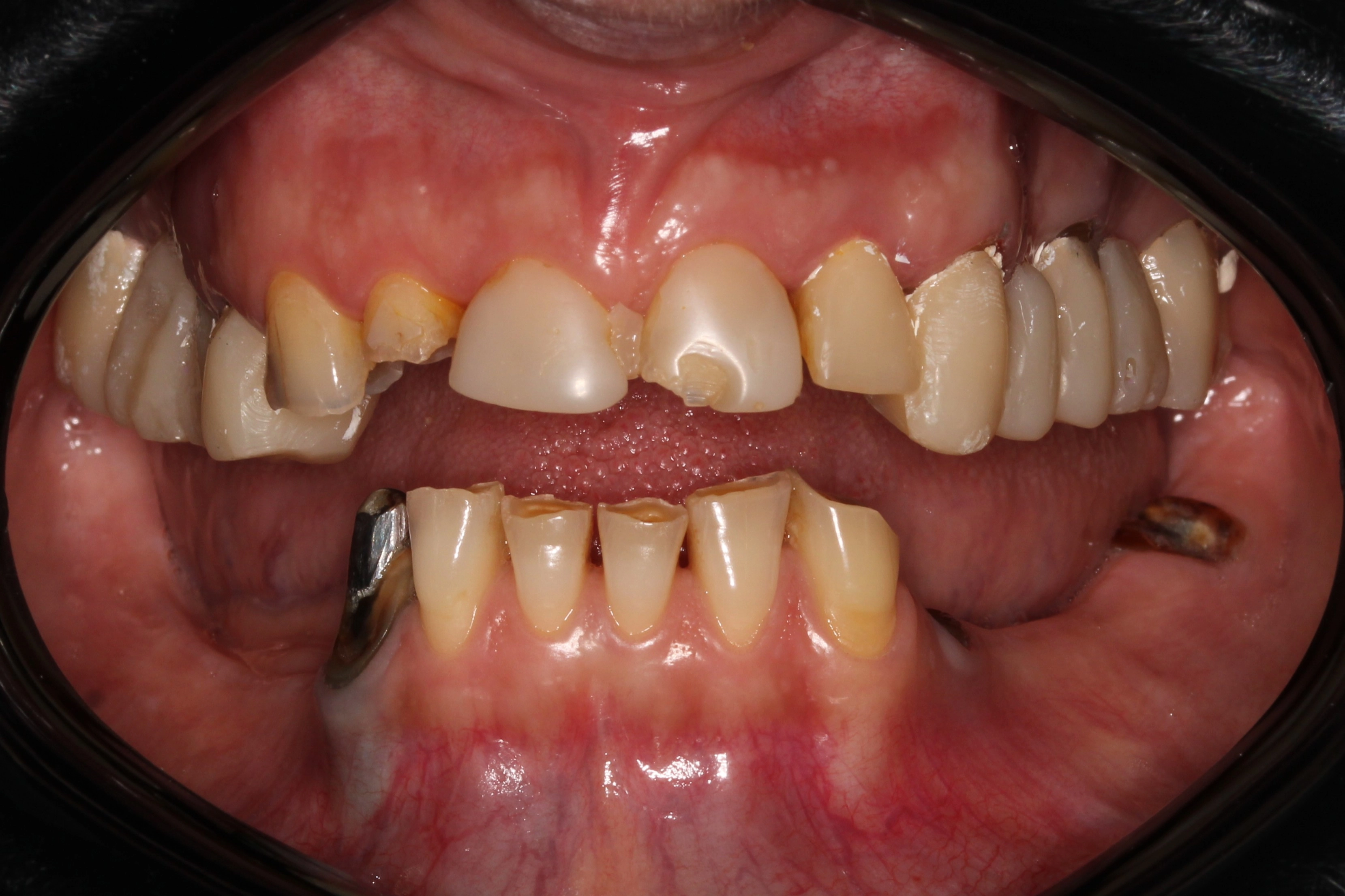
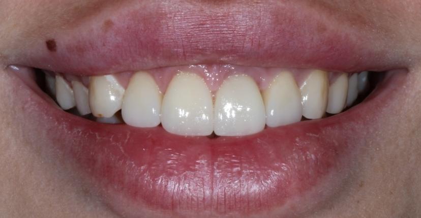
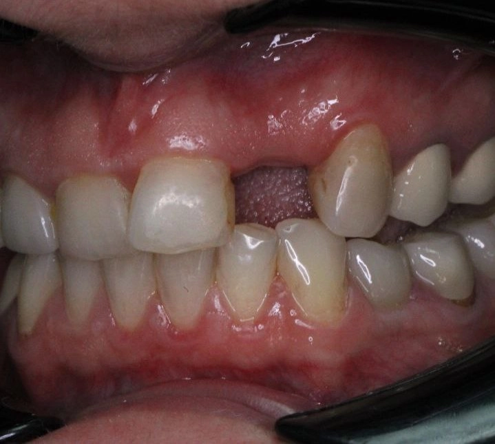
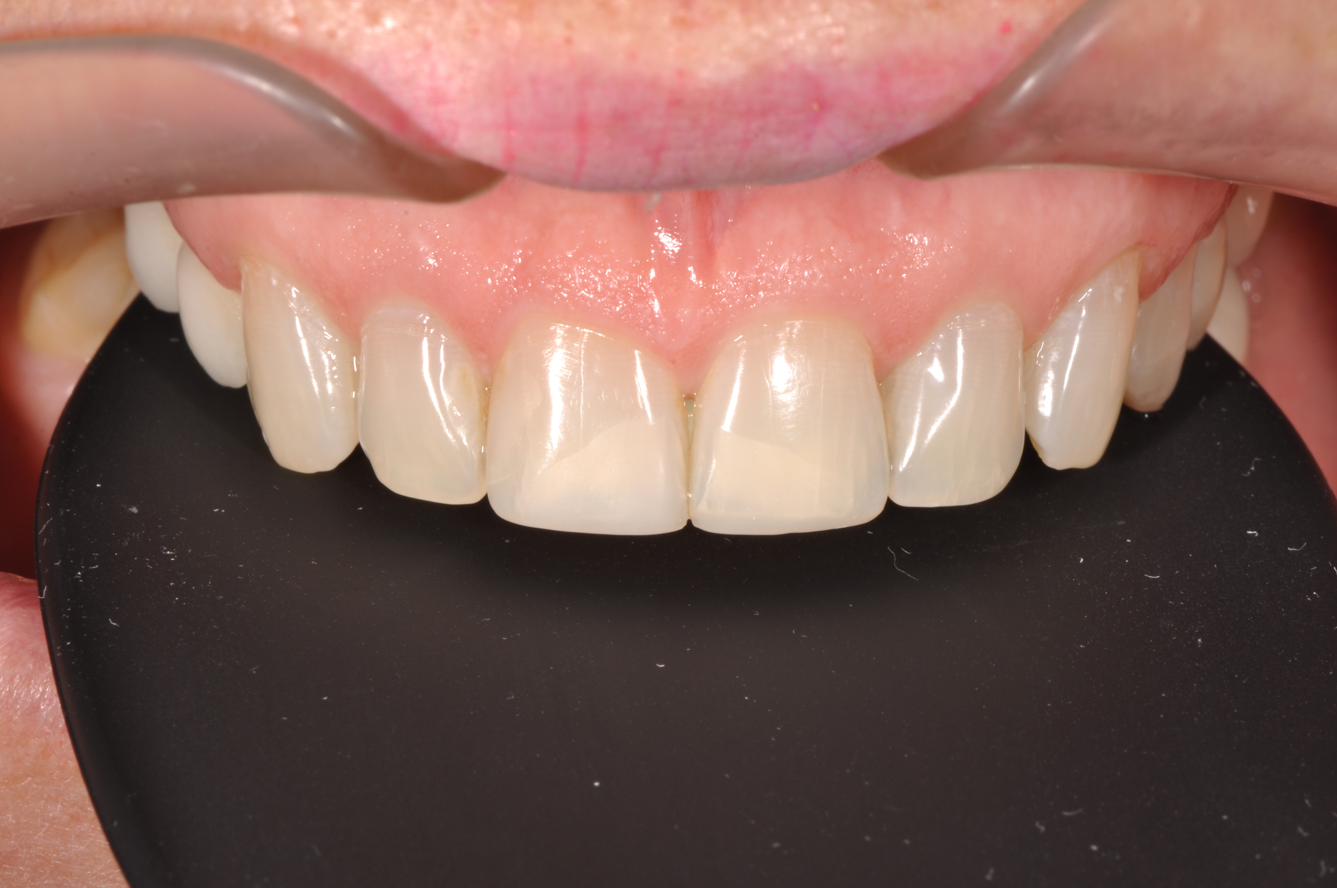
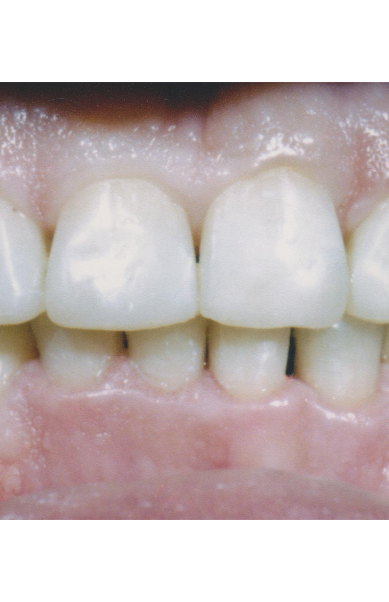
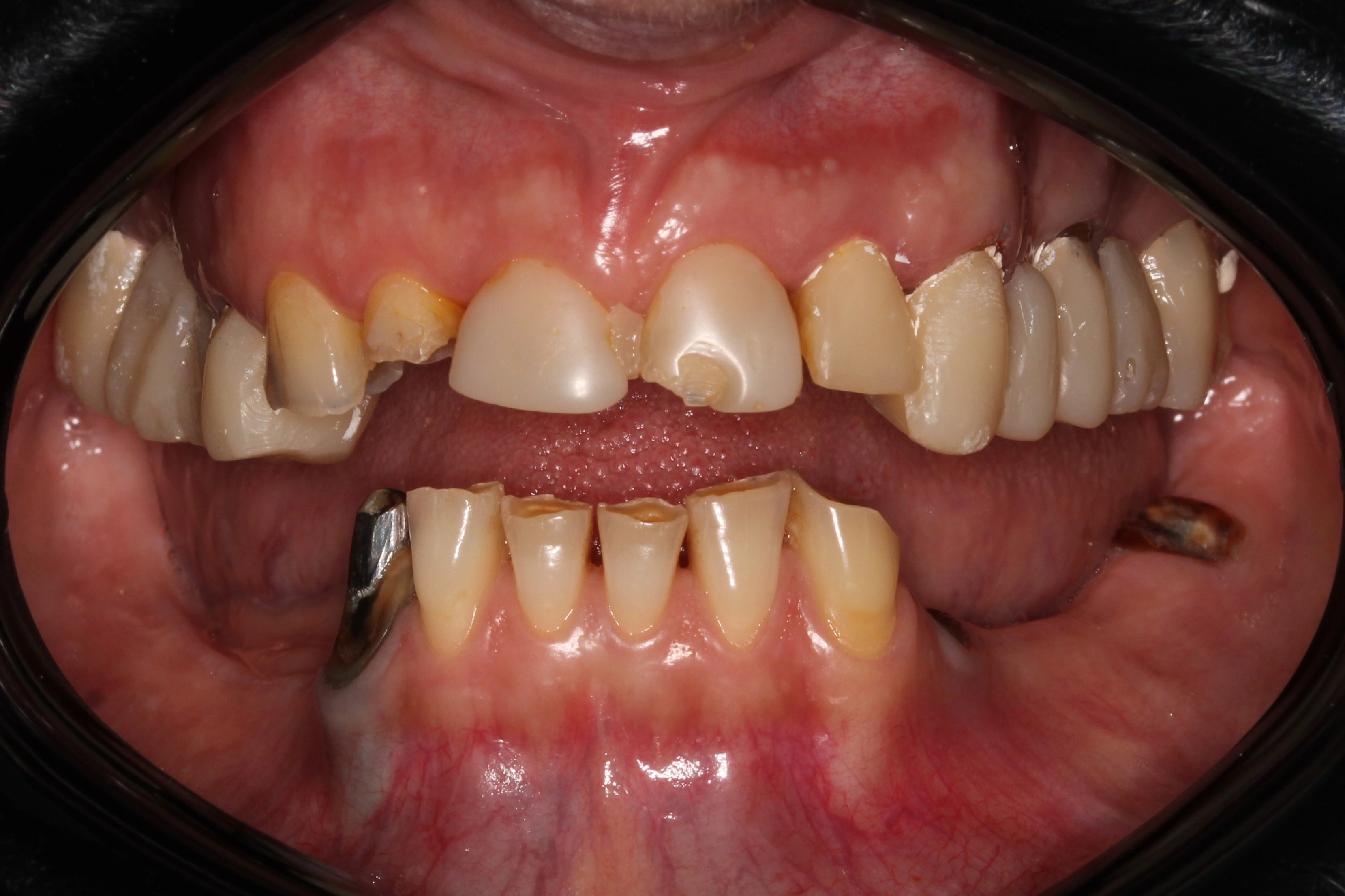
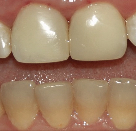
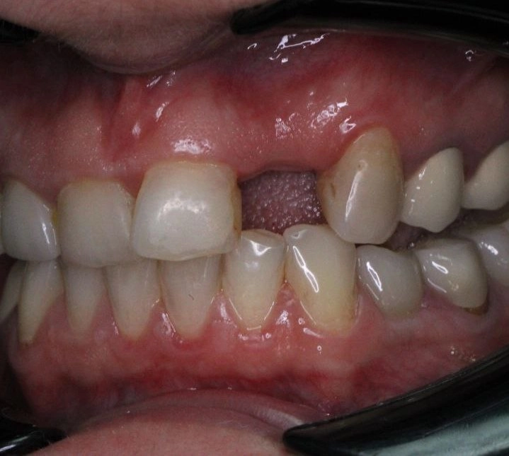
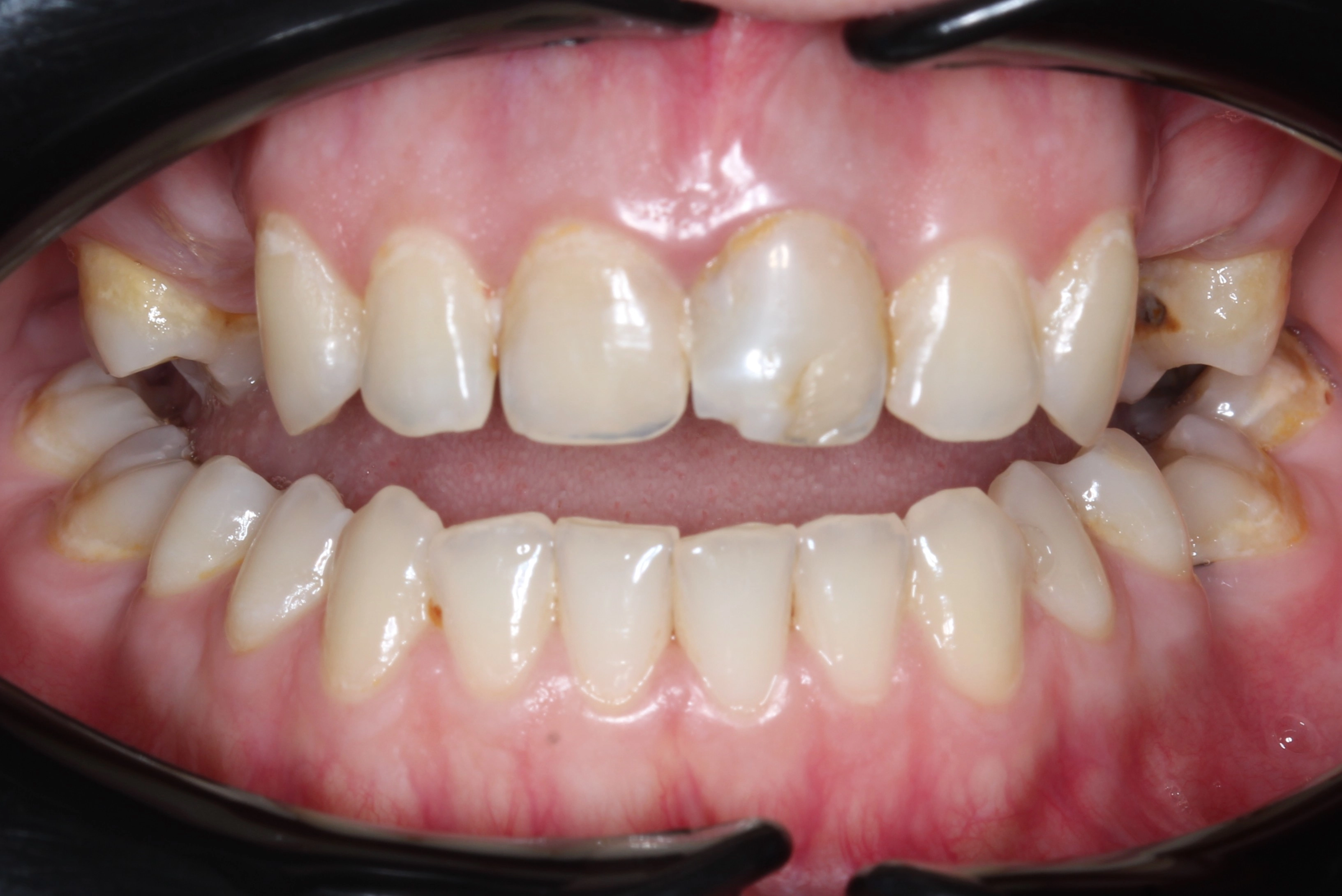
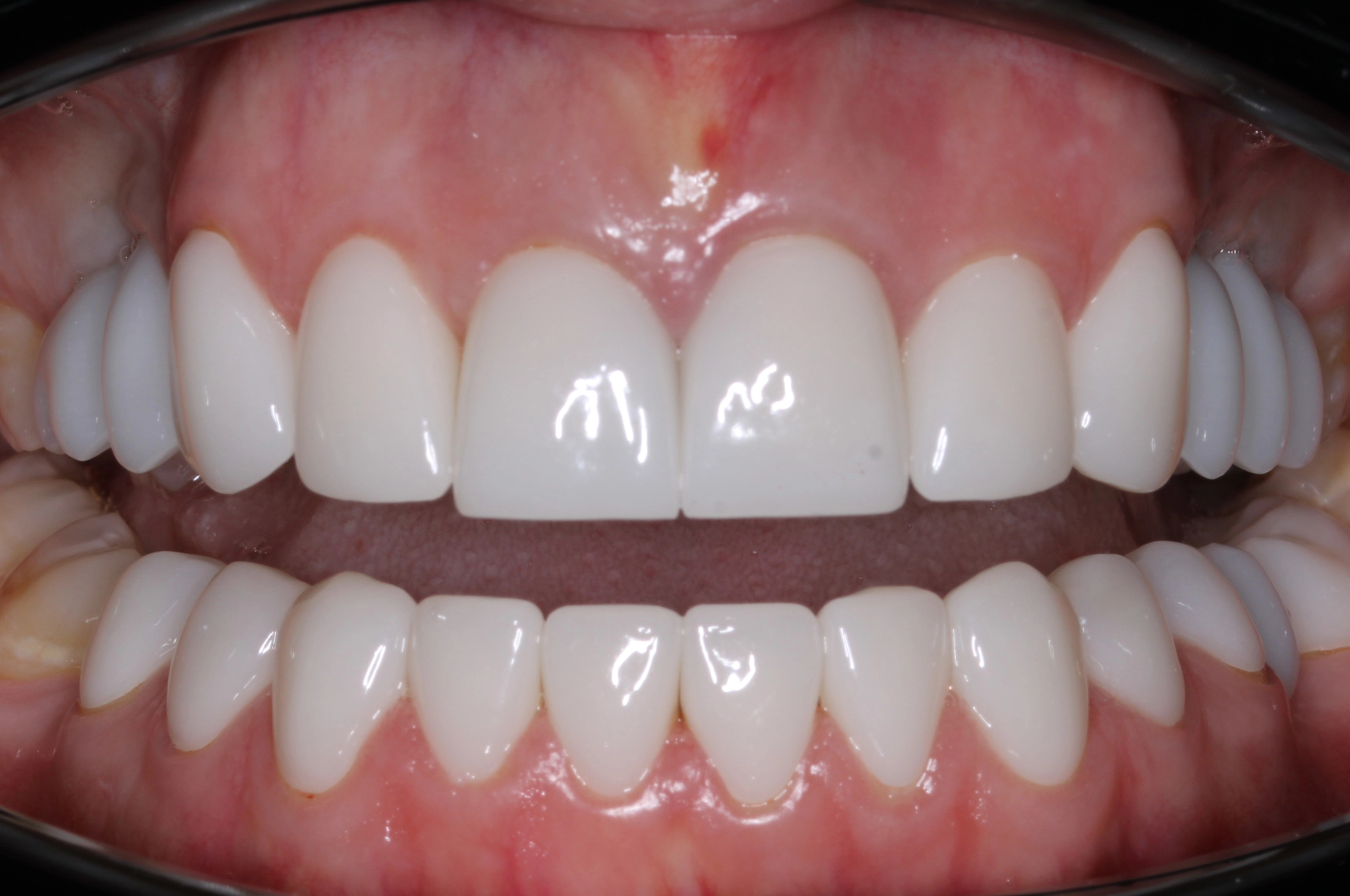
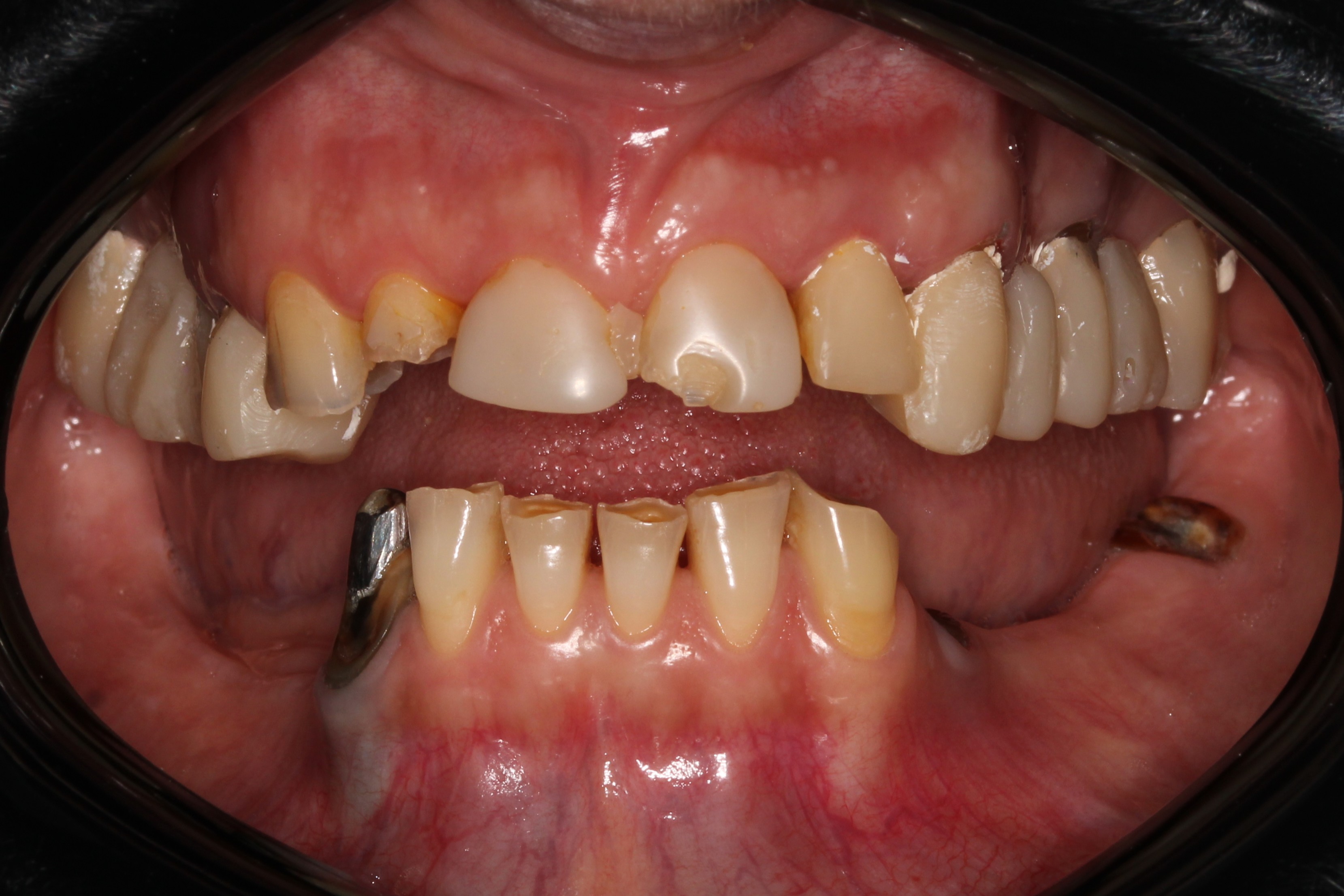
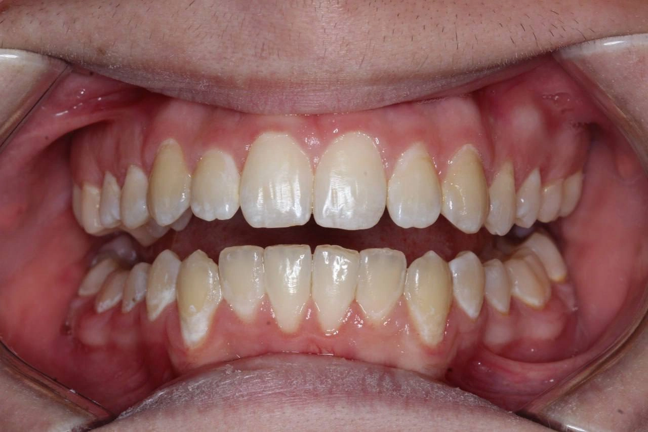
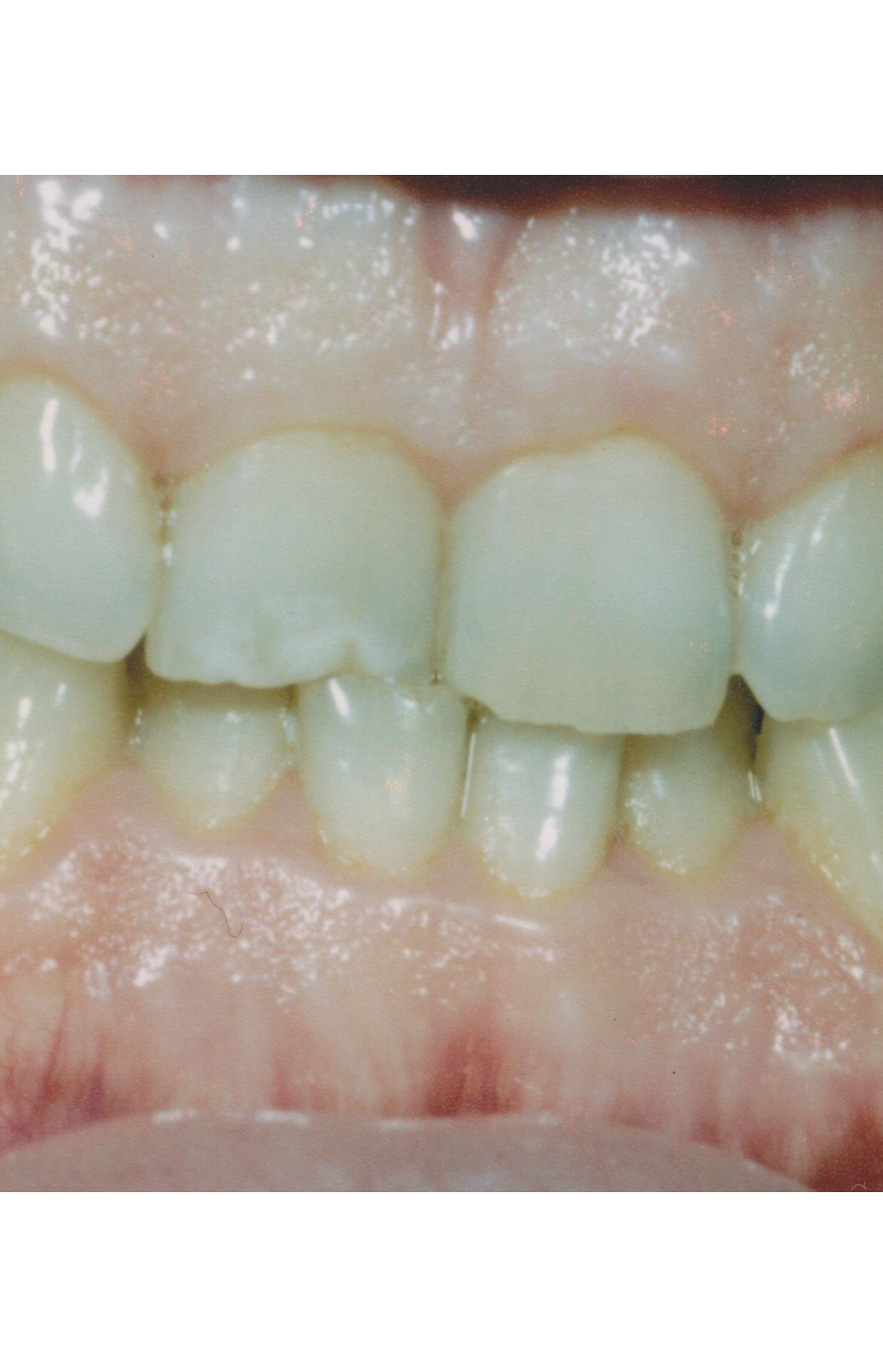
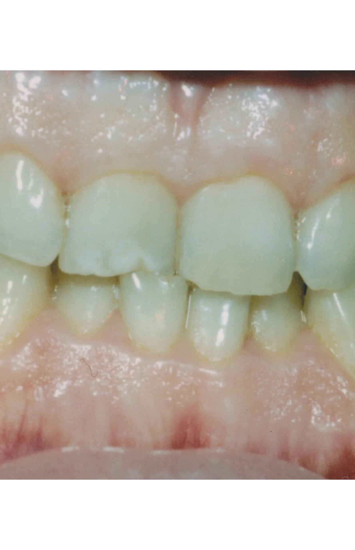
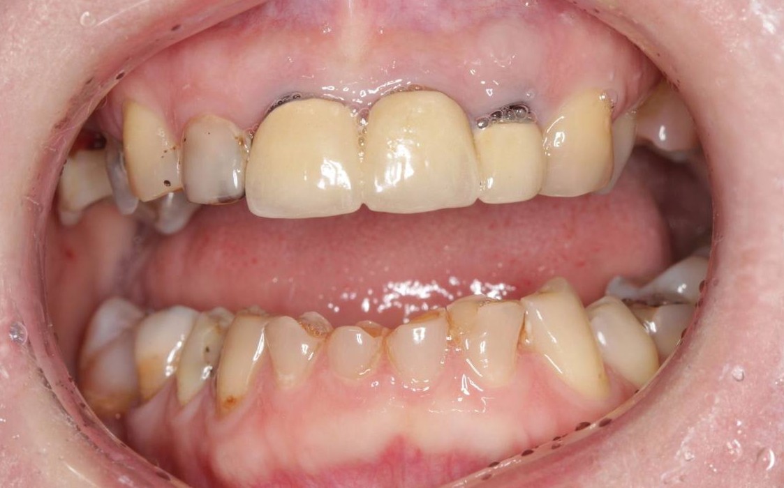
Консультация: Мужчина 31 год, обратился с жалобой на сколы и стираемости передних зубов. По результатам осмотра и диагностики было установлено, что причиной сколов и стирания зубов послужило неправильное положение зубов и, вследствие этого, неправильное смыкание зубов при жевании. Был составлен индивидуальный план лечения пациента с ортодонтическими и терапевтическими процедурами.
Результат: отличный долговременный эстетический эффект, достигнут за счет точного воссоздания цвета и прозрачности тканей зубов, устранение угрозы сколов и стирания зубов за счет исправления прикуса.
Заполните обязательные поля
Дорогие пациенты, ваши отзывы помогают нам расти и развиваться в правильном направлении.
Мы работаем для вас, поэтому нам важно услышать ваше мнение о лечении в нашей стоматологии, о работе врача, о том как вас встретили администраторы на ресепшене.
Делитесь своими впечатлениями, наблюдениями и пожеланиями!
Оставьте свои контактные данные, если хотите получить ответ на отзыв