Мы помогаем нашим пациентам справиться с любой проблемой, связанной с зубами. В стоматологии "Ольга" вас ждет приветливый персонал, современные методы лечения, собственный диагностический центр и новейшее оборудование. Все это в сочетании с высококвалифицированными врачами поднимает процесс лечения на совершенно новый уровень!

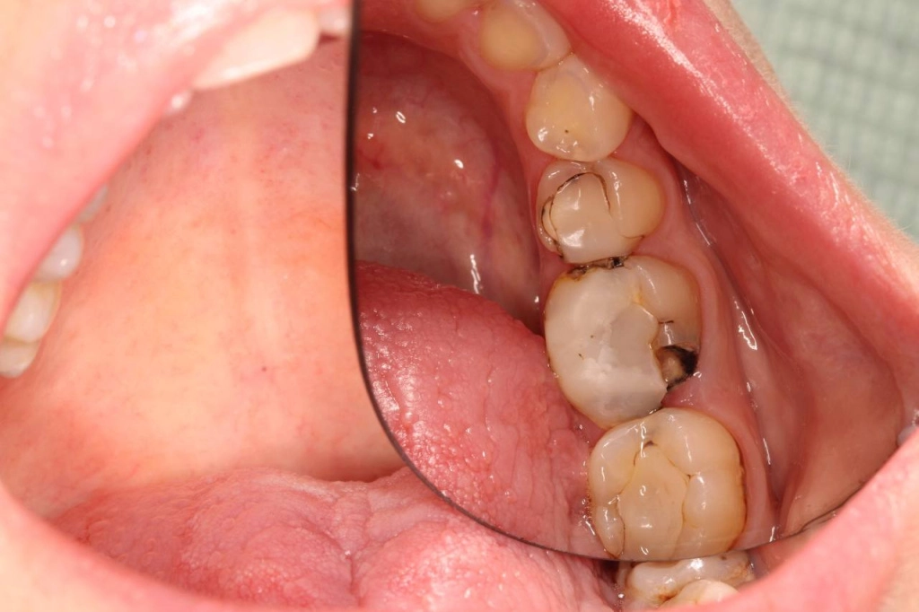
Кариес

4.jpg

Кариес представляет собой деминерализацию внешних твердых тканей зуба – эмали и дентин.

При пережевывании пищи часть ее остается в ротовой полости, оседает на зубах и мягких тканях: деснах, внутренней поверхности щек и другом. В процессе переработки этих остатков пищи микроорганизмы и вырабатывают кислоты. Именно они и приводят к образованию кариеса.


Запущенные формы кариеса способны полностью разрушить зуб!
Запущенные формы кариеса способны полностью разрушить зуб!

Поэтому важно начать лечение заболевания на ранних стадиях, когда последствия еще обратимы. По статистике, заболеванием твердых тканей зубов страдает 95 % населения России, но вовремя обращаются к врачу только 10 %. Запущенный кариес может привести к потере зуба. Всех этих проблем легко избежать, если вовремя начать лечение в стоматологии «Ольга»!

Признаки кариеса и показания к лечению

боль от контакта зуба 
с холодной или 
горячей пищей
боль при контакте зуба
 с кислой, сладкой 
или соленой пищей
неприятный запах
изо рта, видимые 
сколы эмали
потемнения на зубах 
и осветленные 
участки на зубах
потемнение кромки
зуба на границе 
с десной
потемнение линии 
между пломбой
 и зубом
 

Современные методы лечения кариеса в Волгограде

IMG_4406.jpg


Стоматологические микроскопы, позволяют препарировать зуб в пределах эмали. А видеокамера дает возможность пациенту увидеть с 20-кратным увеличением состояние своего зуба и понять обоснованность предложенного  плана лечения.

Аппарат Proffi Flex обрабатывает кариозные полости струей воды с абразивом, под давлением. Удаляются только мягкие разрушенные инфекцией ткани зуба, а здоровые не травмируются. 

Технология ICON применяется для лечения начальной стадии кариеса без сверления бором, а значит без потери здоровых тканей зуба и совершенно без боли. Это самый нежный метод продления срока жизни зуба.



Почему лечение кариеса нельзя откладывать?

1

«Само НЕ пройдет», 
даже если боль стихла, 
она обязательно 
вернется
2

Кариес перейдет 
в пульпит, а это 
уже острая 
зубная боль
3

Лечение кариеса 
минимум в 2 раза 
дешевле лечения 
пульпита
4

Современные анестетики 
делают процедуру 
безболезненной
5

Все еще боитесь? 
Лечение под ЗАКС
 снимает страх 
и тревожность


Этапы лечения кариеса

  • 1. Очистка от зубного налета
    На этом этапе в первую очередь необходимо снять с зубов твердые и мягкие отложения и налет. Для удаления массивных зубных отложений применяют ультразвуковые насадки, а для снятия мягкого микробного и пигментного налета — абразивные пасты и специальные щетки.
  • 2. Анестезия
    Местная анестезия в нашей клинике проводится в 2 этапа: обезболивание места укола и только потом инъекция ультракаина. Обезболивание применяют при лечении глубоко поврежденных живых зубов. Современные препараты делают процедуру практически безболезненной.
  • 3. Удаление кариозных тканей. 
    Эмаль разрушается при средней степени кариеса в меньшей степени, чем дентин. Это объясняется тем, что эмаль гораздо прочнее дентина. Входное отверстие в эмали может быть маленьким, но кариозная полость при этом — довольно глубокой.
  • 4. Изоляция зуба от слюны. 
    Это следующий важный этап лечения кариеса. После того как кариозные ткани удалены, необходимо тщательно изолировать зуб от попадания на него слюны и только после этого можно начинать процедуру пломбирования.
  • 5. Пломбирование зуба.
    С помощью поэтапного наложения фотополимерного композитного пломбировочного материала восстанавливается первоначальная форма зуба. Важно провести эту операцию особенно тщательно, включая фиссуры и анатомические бугры.
  • 6. Шлифовка и полировка пломбы
    Завершающий этап, который проводят после полного восстановления формы зуба. Окончательная полировка неровной и шершавой поверхности пломбы придает ей гладкость и блеск. На этом заканчивается лечение кариеса средней глубины.

Гарантия качества

Индивидуальный подход и комфортное лечение
Уникальный комплекс цифрового оборудования
Новейшие технологии и качественные материалы
Качественное лечение по европейским стандартам
Программа бесплатных профилактических осмотров

Рекомендации врача

Новикова Елена.png
Новикова Елена Анатольевна,
стоматолог-терапевт
Специалист с 20-летним опытом работы, специализируется на сложных случаях
Чаще всего ко мне попадают пациенты с глубокой формой кариеса, поэтому первое что я хочу порекомендовать - это конечно же своевременное обращение к врачу! Чем раньше вы обратитесь за помощью, тем больше шансов избежать неприятных осложнений, которые могут привести к потере зуба и дорогостоящему лечению. Поэтому важно при любом даже не значительном дискомфорте, вовремя обращаться за консультацией стоматолога.



Запишитесь на прием прямо сейчас

В ближайшее время с Вами свяжется администратор и предложит удобную для Вашего визита дату и время. Мы работаем без выходных!

Преимущества лечения в стоматологии “Ольга”

  • ✔ Высококлассные специалисты
    Наши стоматологи регулярно проходят дополнительное обучение на семинарах в России и за рубежом. Повышают уровень квалификации и осваивают новые технологии. В стоматологии «Ольга» широко применяется междисциплинарный подход.
  • ✔ Сохранение зуба наш приоритет
    Даже в запущенных случаях наши врачи делают все возможное, чтобы предотвратить удаление, тем более для этого у нас есть все необходимое: опытные врачи, современное оборудование, новейшие технологии и собственный диагностический центр.
  • ✔ Точная диагностика
    В нашем диагностическом центре мы используем в работе томографы. Только рентгенография сможет выявить скрытый кариес. Диагностика на дентальном 3D-томографе позволяет с высокой точностью изучить положение, форму, размеры и строение зубов и костной ткани.
  • ✔ Ювелирная работа
    В сложных случаях для лечения используется операционный стоматологический микроскоп. Высокоточная оптика позволяет с ювелирной точностью удалить 100% инфицированных тканей зуба при глубоком кариесе и не затронуть здоровые участки.
  • ✔ Лечение без страха и боли под маской с ЗАКС
    Мы применяем двухэтапную анестезию: обезболивание десны перед уколом и только потом инъекция ультракаина. Мы первые в Волгограде освоили эту технологию. Закись азота применяют для снятия чувства тревоги и страха у пациента.
  • ✔ Комфортное лечение по европейским стандартам
    Прием пациента по протоколу в "четыре руки", уютный ресепшен, программа бесплатных профосмотров и приветливые администраторы помогают сформировать положительный опыт стоматологического лечения и предотвратить страх перед стоматологами в будущем.

Отзывы наших пациентов

Цены

  • Первичная консультация стоматолога терапевта

    Осмотр всей полости рта, выявление проблем, составление предварительного плана лечения если есть такая необходимость, обсуждение возможных вариантов.
    от 790 руб.
  • Лечение поверхностного кариеса

    Стоимость зависит от используемых материалов, это могут быть Витример или Эском-100 или светоотверждаемые композиты Спектрум или Эстет, Филтек или Церам.
    от 3479 руб.
  • Лечение среднего кариеса

    Стоимость зависит от используемых материалов, это могут быть Витример или Эском-100 или светоотверждаемые композиты Спектрум или Эстет, Филтек или Церам.
    от 5206 руб.
  • Лечение глубокого кариеса

    Стоимость зависит от используемых материалов, это могут быть Витример или Эском-100 или светоотверждаемые композиты Спектрум или Эстет, Филтек или Церам.
    от 6515 руб.
  • Анестезия

    Стоимость зависит от вида анестезии.
    от 1076 руб.

Запишитесь на прием прямо сейчас

В ближайшее время с Вами свяжется администратор и предложит удобную для Вашего визита дату и время. Мы работаем без выходных!
Оставьте заявку на прием специалиста сейчас

Заполните обязательные поля

Оставьте отзыв
Нам важно мнение каждого!

Дорогие пациенты, ваши отзывы помогают нам расти и развиваться в правильном направлении.

Мы работаем для вас, поэтому нам важно услышать ваше мнение о лечении в нашей стоматологии, о работе врача, о том как вас встретили администраторы на ресепшене.

Делитесь своими впечатлениями, наблюдениями и пожеланиями!

Оставьте свои контактные данные, если хотите получить ответ на отзыв

ПРИКРЕПИТЬ ФАЙЛ


Оставьте заявку на прием специалиста сейчас

Заполните обязательные поля

Оставьте отзыв
Нам важно мнение каждого!

Дорогие пациенты, ваши отзывы помогают нам расти и развиваться в правильном направлении.

Мы работаем для вас, поэтому нам важно услышать ваше мнение о лечении в нашей стоматологии, о работе врача, о том как вас встретили администраторы на ресепшене.

Делитесь своими впечатлениями, наблюдениями и пожеланиями!

Оставьте свои контактные данные, если хотите получить ответ на отзыв

ПРИКРЕПИТЬ ФАЙЛ