Главный врач, стоматолог-хирург, имплантолог

Мадоян Армен Гагикович

Главный врач, стоматолог-хирург, имплантолог
Мадоян Армен Гагикович

Информация о специалисте

Расписание:
Вт | Чт | Пт | Сб: 8:00-14:00
Ср: 14:00-20:00
Клиника:
Стоматология в Дзержинском районе

"От врачей и учителей требуют чуда, а если чудо свершится, никто не удивляется". 

Мария фон Эбнер-Эшенбах 

Образование и опыт работы

Окончил Волгоградский государственный медицинский университет в 2015г. с присвоением квалификации врач-стоматолог по специальности "Стоматология".

Постдипломное обучение:

  • ИНТЕРНАТУРА по специальности "Стоматология общей практики" с присвоением квалификации врач. ВолгГМУ | 2016г.

  • ПОВЫШЕНИЕ КВАЛИФИКАЦИИ по программе "Актуальные вопросы современной имплантологии". Межрегиональном Институте Непрерывного Образования | 2017г.

  • ПОВЫШЕНИЕ КВАЛИФИКАЦИИ по программе "Экспертиза временной и стойкой нетрудоспособности. Экспертиза качества медицинской помощи". ВолгГМУ | 2017г.

  • Сертификат по специальности Стоматология хирургическая действителен по 2025г. включительно.

  • Сертификат по специальности Стоматология общей практики действителен по 2025г. включительно.

Курсы и семинары

Регулярно посещает курсы повышения квалификации у ведущих специалистов мира:
  • 2025

    Курс Павла Ярошевича "Синус-лифтинг командный подход"

  • 2025

    Курс Павла Ярошевича "Протоколы костной и мягкотканной аугментации"

  • 2025

    3 место в рейтинге стоматологов-хирургов Волгоградской области./ Премия Продокторов

  • 2024

    Anthogyr. Искусство имплантации: сложные случаи и практические вопросы

  • 2024

    Anthogyr. Искусство имплантации: сложные случаи и практические вопросы

  • 2024

    Anthogyr. Clinical use of the Axiom X3 implants in different scenarios

  • 2023

    Курс Петра Лазукина "Протезирование полной дуги с опорой на импланты" / Волгоград

  • 2023

    Курс Петра Лазукина "Двухдневный курс: ошибки и осложнения в имплантологическом лечении" / Волгоград

  • 2023

    1 место в рейтинге стоматологов-хирургов Волгоградской области./ Премия Продокторов

  • 2023

    Практический курс: "Командный подход в дентальной имплантации"

  • 2022

    Международный симпозиум Квинтэссенсии по пародонтологии и имплантологии "Эстетические и реконструктивные вмешательства в имплантологии"/ Москва

  • 2022

    Практический курс: "Восстановление толщины костной ткани методом профессора Кюри. Создание зоны прикрепленной кератинизированной десны" / Волгоград

  • 2022

    1 место в рейтинге стоматологов-хирургов Волгоградской области./ Премия Продокторов

  • 2021

    Практический курс "Синус-лифтинг"/ Нижний Новгород

  • 2021

    2 место в рейтинге стоматологов-хирургов Волгоградской области./ Премия Продокторов

  • 2020

    Практический курс Павла Ярошевича: "Протоколы костной и мягкотканной аугментации" / Астрахань

  • 2018

    Углубленный курс Дмитрия Рогацкина: "Трехмерная радиодиагностика челюстно-лицевой области" | Волгоград.

  • 2018

    Индивидуальный курс обучения по дентальной имплантологии: | Волгоград.

  • 2018

    Специализированный курс Дмитрия Рогацкина: "Трехмерная радиодиагностика. Часть 1" | Волгоград.

  • 2017

    Симпозиум: "Дентальная имплантация: проблемы и перспективы развития" | Волгоград.

  • 2017

    Osstem Forum: | Волгоград.

  • 2017

    Учебный курс: "Фиксация на четырех. От теории к практике. На примере имплантационной системы CORTEX (Израиль)" | Москва.

  • 2017

    Симпозиум : "Заболевания и новообразования слизистой рта у детей: современные аспекты лечения" | Волгоград.

  • 2017

    Симпозиум : "Актуальные вопросы хирургической стоматологии и челюстно-лицевой хирургии" | Волгоград.

  • 2017

    Интенсивный тренинг: "Клиентоориентированность в деталях" | Волгоград.

  • 2017

    Курс: "Основы дентальной имплантации" | Волгоград.

  • 2016

    Отчетная конференция: "Итоги работы стоматологической службы региона за 2015г" | Волгоград.

  • 2016

    Научно-практическая конференция молодых ученых и студентов ВолгГМУ с международным участием: "Актуальные проблемы экспериментальной и клинической медицины" | Волгоград.

  • 2016

    Симпозиум: "Актуальные вопросы хирургической стоматологии" | Волгоград.

  • 2015

    Межрегиональная научно-практическая конференция: | Волгоград.

  • 2015

    Круглый стол: "Охрана стоматологического здоровья в свете реализации федерального закона "№323-ФЗ" | Волгоград.

  • 2015

    Научно-практическая конференция: "Стоматология. Достижение науки и практики. 2014г" | Волгоград.

  • 2015

    Отчетно-выборная конференция: "Итоги работы стоматологической службы за 2014г. Перспективы развития" | Волгоград.

  • 2015

    Научно-практическая конференция: "Актуальные вопросы стоматологической помощи детскому населению" | Волгоград.

  • 2014

    Научно-практическая конференция: "Стоматология. Достижение науки и практики. 2014г" | Волгоград.

  • 2014

    Научно-практическая конференция: "Стоматология. Достижение науки и практики. 2014г" | Волгоград.

  • 2014

    Научно-практическая конференция: "Системные проблемы в повседневной работе врача стоматолога" | Волгоград.

  • 2014

    Научно-практическая конференция: "Системные проблемы в повседневной работе врача стоматолога" | Волгоград.

  • 2014

    Семинар : "Анестезия и неотложная помощь при соматической паталогии в практике врача-стоматолога" | Волгоград.

  • 2014

    Цикл лекций: "Рациональное применения антимикробных средств и внедрение в практическое здравоохранение мер по сдерживанию антибиотикорезистентности" | Волгоград.

Всего пройдено курсов 40

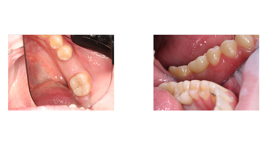
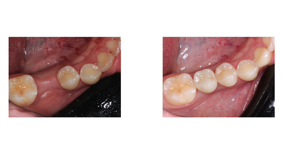
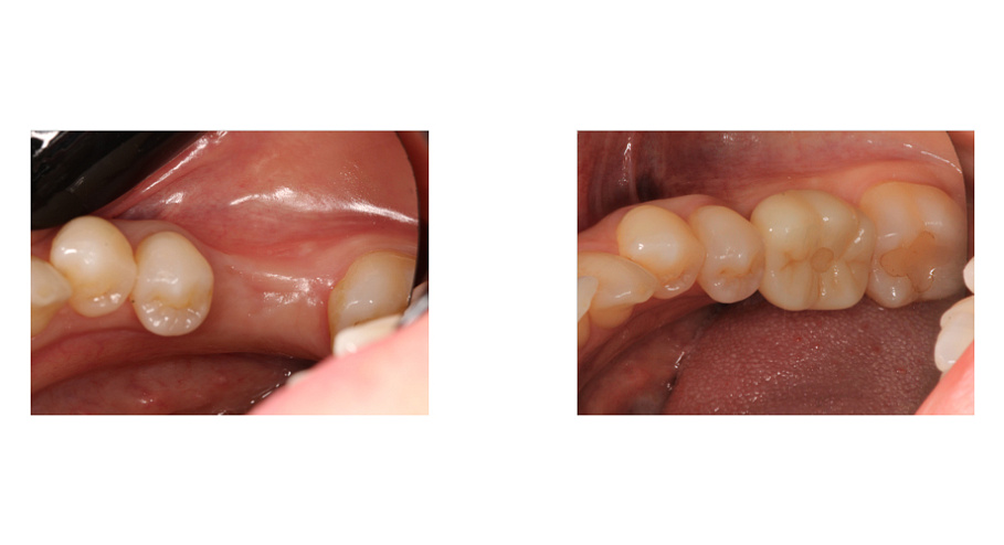
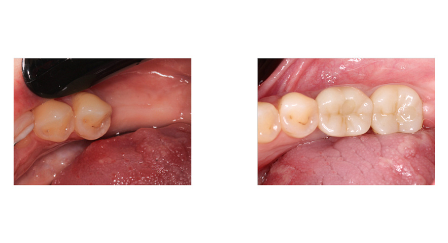
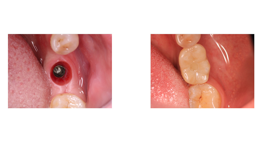
Работы специалиста

Запишитесь на прием прямо сейчас

В ближайшее время с Вами свяжется администратор и предложит удобную для Вашего визита дату и время. Мы работаем без выходных!
Оставьте заявку на прием специалиста сейчас

Заполните обязательные поля

Оставьте отзыв
Нам важно мнение каждого!

Дорогие пациенты, ваши отзывы помогают нам расти и развиваться в правильном направлении.

Мы работаем для вас, поэтому нам важно услышать ваше мнение о лечении в нашей стоматологии, о работе врача, о том как вас встретили администраторы на ресепшене.

Делитесь своими впечатлениями, наблюдениями и пожеланиями!

Оставьте свои контактные данные, если хотите получить ответ на отзыв

ПРИКРЕПИТЬ ФАЙЛ


Оставьте заявку на прием специалиста сейчас

Заполните обязательные поля

Оставьте отзыв
Нам важно мнение каждого!

Дорогие пациенты, ваши отзывы помогают нам расти и развиваться в правильном направлении.

Мы работаем для вас, поэтому нам важно услышать ваше мнение о лечении в нашей стоматологии, о работе врача, о том как вас встретили администраторы на ресепшене.

Делитесь своими впечатлениями, наблюдениями и пожеланиями!

Оставьте свои контактные данные, если хотите получить ответ на отзыв

ПРИКРЕПИТЬ ФАЙЛ