Стоматолог-терапевт

Ечевская Анастасия Борисовна

Стоматолог-терапевт
Ечевская Анастасия Борисовна

Информация о специалисте

Расписание:
Пн | Вт | Чт: 08:00 - 14:00
Ср | Пт: 14:00 - 20:00
Сб: 08:00 - 20:00
Клиника:
Стоматология в Дзержинском районе

Образование и опыт работы

Окончила Волгоградский медицинский институт в 2020г. с присвоением квалификации "врач-стоматолог" по специальности "Стоматология". Диплом №1034310338141

Постдипломное обучение:

  • Прошла ординатуру по специальности "Стоматология ортопедическая" с присвоением квалификации "стоматолог-ортопед" в 2022 гг. Диплом № 103404001162

  • Прошла аккредитацию по специальности "Стоматология общей практики". Действительна до 2025 года.

  • Прошла аккредитацию по специальности "Стоматология ортопедическая" с присвоением квалификации "стоматолог-ортопед". Действительна до 2027 года.

Сертификаты специалиста

Курсы и семинары

Регулярно посещает курсы повышения квалификации у ведущих специалистов мира:
  • 2024

    СЕРТИФИКАТ: "Тотальные работы на имплантах"

  • 2024

    СЕРТИФИКАТ: "Использование операционного микроскопа в эндодонтии. Сложные вопросы в эндодонтии - догмы и парадоксы. Теория и практика."

  • 2023

    СЕРТИФИКАТ: "МРТ ВНЧС в современной функциональной стоматологии"

  • 2023

    СЕРТИФИКАТ: "Фронтальная реставрация"

  • 2023

    СЕРТИФИКАТ: "Практический модуль по цифровой функциональной диагностике. Модуль 2.

  • 2022

    СЕРТИФИКАТ: "Керамические реставрации. Просто о сложном"

Всего пройдено курсов 6

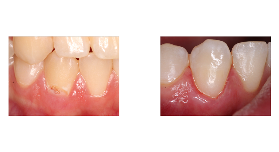
Работы специалиста

Запишитесь на прием прямо сейчас

В ближайшее время с Вами свяжется администратор и предложит удобную для Вашего визита дату и время. Мы работаем без выходных!
Оставьте заявку на прием специалиста сейчас

Заполните обязательные поля

Оставьте отзыв
Нам важно мнение каждого!

Дорогие пациенты, ваши отзывы помогают нам расти и развиваться в правильном направлении.

Мы работаем для вас, поэтому нам важно услышать ваше мнение о лечении в нашей стоматологии, о работе врача, о том как вас встретили администраторы на ресепшене.

Делитесь своими впечатлениями, наблюдениями и пожеланиями!

Оставьте свои контактные данные, если хотите получить ответ на отзыв

ПРИКРЕПИТЬ ФАЙЛ


Оставьте заявку на прием специалиста сейчас

Заполните обязательные поля

Оставьте отзыв
Нам важно мнение каждого!

Дорогие пациенты, ваши отзывы помогают нам расти и развиваться в правильном направлении.

Мы работаем для вас, поэтому нам важно услышать ваше мнение о лечении в нашей стоматологии, о работе врача, о том как вас встретили администраторы на ресепшене.

Делитесь своими впечатлениями, наблюдениями и пожеланиями!

Оставьте свои контактные данные, если хотите получить ответ на отзыв

ПРИКРЕПИТЬ ФАЙЛ